当前位置: 首页 > 医学版 > 医学动态 > 病案讨论
编号:10564007
发热、肝脾肿大
http://www.100md.com 中国医学论坛报
发热、肝脾肿大//

     病历摘要

    患者男,19岁,学生。因发热伴腹胀、乏力3个月于2003年5月9收入院。患者自2003年2月起无明显诱因出现寒战、高热,体温最高达40.5℃,呈弛张热型,发热时段不固定,用退热药体温能降至正常,伴乏力、纳差、腹胀、消瘦、咳嗽、黄脓痰。2003年3月在外院查血WBC1.4~2.3×109/Hb 94~103 g/L,PLT3~19×109/L,乳酸脱氢酶(LDH) 495~1047 U/L,肌酸激酶(CK)、γ-谷氨酰转肽酶(GGT)、天冬氨酸转氨酶(AST)增高。类风湿因子(RF)、抗链O(ASO)、可提取核抗原(ENA)、抗核抗体(ANA)均阴性。IgG 0.93g/kIgA 0.07g/kIgM 0.07g/k,Ig重链TCR基因重排阴性,TB-DNA阴性。痰找抗酸杆菌阴性,PPD阴性。骨髓涂片示增生活跃,M 64.5%,E 32%,M∶E 2.02 ∶1。部分粒细胞可见中毒颗粒,中幼红比例增高,高度怀疑淋巴瘤,恶组不除外。X线胸片见右中肺野密度增高影,左下肺弧形条索影,符合术后改变,右肺门略增大。腹部CT见肝脾巨大,脾内多发低密度影,腹膜后多个淋巴结肿大,结合临床考虑淋巴瘤的可能性大。
, http://www.100md.com
    先后给予患者多种抗生素治疗无效,泼尼松40 mg/d体温暂控制。4月18日行COP方案化疗,具体用量用法不详,疗后体温未下降,为进一步治疗来我院。患者一般情况差,2个月内体重下降6 kg,高热体温达40℃,咯黄脓痰,时有腹部隐痛,大便5次/日。

    患者曾于2001年秋因咯血在当地医院诊为“支气管扩张症”,于2002年1月和12月分别行左肺下叶和右肺中叶切除术。其妹患有血小板减少性紫癜,行“脾栓塞”后治愈。

    入院查体 巩膜轻度黄染,右中上肺有粗湿罗音及散在哮鸣音,肝肋下4.5 cm脾肋下10 cm轻触痛。

    实验室检查 血WBC0.5~18.5×109/ L,Hb 50~145g/L,PLT27~102×109/L。肝肾功能:丙氨酸转氨酶(ALT) 9~20 U/L,白蛋白(ALB)2.61~5.03 g/dk, ALP 156~307 U/L,总胆红素0.56~2.90 mg/dk,LDH 159~669 U/L。免疫球蛋白:IgG 2.69g/LIgA 0.194g/LIgM 0.188 g/L, 淋巴细胞表型分析:淋巴细胞总数正常,T淋巴细胞轻度增多,NK细胞轻度减少,B细胞严重减少;T4细胞比例及计数均下降,T8细胞均升高,T4/T8比例严重倒置。
, http://www.100md.com
    CD4+细胞比例正常, CD8+细胞比例降低,存在明显的细胞免疫激活。痰细菌培养有阴沟肠杆菌、单核增生李斯特菌、酵母菌、鲍曼不动杆菌、 甲氧西林耐药金葡菌(MRSA)等。

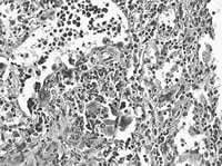
    肺功能检测:限制性通气功能障碍,弥散功能障碍。肝脾病理:肝脾原因不明髓外造血伴吞噬红细胞现象(见图);脾多发坏死;肝片状出血;淋巴结反应性增生。免疫组化:

    CD15(++)、MAC(++)、CD3(+)、CD43(++)、NK1(+)、CD20(-)、CD79 α(-)。

    图 遥髓外造血,胖吞噬红细胞现象

    诊治经过 入院后给予患者多种抗生素、白蛋白及血小板、红细胞支持,但未能控制体温。予以试验性化疗一疗程。并行脾切除加肝活检术。手术2天后患者体温逐渐降至37℃左右。术后4日患者突发咯血,经止血治疗后好转。遂将泼尼松逐渐减量到10 mg/d。复查胸部CT:右肺下叶外后基段片状影为新发病灶左心缘旁见新发片状影,右肺门增大淋巴结新发病变。患者每日仍有高热,并有脓血痰约20 mk。
, 百拇医药
    病例讨论

    陈嘉林(血液科教授):患者以全血细胞减少、肝脾肿大和发热为主要表现,分析该患者的诊断,恶性组织细胞病要考虑,支持点有全血细胞减少、发热、肝脾肿大等;不支持点有肝肾功能正常、一般情况尚可、多次骨穿结果未见恶组细胞。淋巴瘤不能除外,该病可解释全部病程,右肺门肿物也支持这一诊断。细菌感染是肯定存在的,患者有支气管扩张病史,并且血培养和痰培养均多次阳性,但细菌感染仅是整个病程中的一个并发症,不能解释全貌。结核和病毒感染难以解释肝脾巨大。免疫系统疾病无证据提示。综上所述,目前支气管扩张和肺部感染诊断成立,但基础病不明确。

    周道斌(血液科教授):该患者入院时一般情况极差,反复发热, ALB及Hb低,且时值SARS期间,外科认为不宜手术,故暂时保守治疗。经过专业组讨论,我们甚至加用了试验性化疗,这在我们血液科是很少见的,主要是因为诊断的把握相当大。但是切脾后的病理未见淋巴瘤细胞令人意外。髓外造血常见于肝脾,主要分原发性和继发性。原发性多见于60岁以上的老人,病程长,有乏力、腹胀,外周血涂片可见幼稚红细胞、泪滴样红细胞。骨髓可有反复干抽,骨髓活检为纤维化。继发性见于真性红细胞增多症、原发性血小板增多症、肿瘤(如淋巴瘤和白血病)、长期药物影响、化学毒素损害以及慢性感染(如结核)。至于脾内多发性坏死是否干酪样坏死,还要请教病理科医师。诊断上首先考虑淋巴瘤,其次为结核。继往两次试验性化疗效果不满意,可能与化疗有效性仅有60%~70%或化疗剂量不足有关。目前发现患者有肺门淋巴结增大,建议做支气管镜检并进一步了解淋巴结性质。
, 百拇医药
    吕玮(感染科主治医):本病例特点:(1)青年男性,生活在甘肃,有牛羊接触史。(2)自7岁起反复流黄涕,13岁起反复咯血。(3)发病前1年内因支气管扩张两次行肺叶切除术。(4)主要症状为高热、咳嗽、咯黄痰,体重下降。(4)血三系细胞降低,肝脾大,脾多发低密度灶。(5)胸部CT有片状影,右肺门增大。(6)脾切除后Hb回升,体温一过性正常,但出现咯血。(7) IgG 、 IgA、IgM均降低。(8)骨髓和肝脾病理无明确提示。

    从感染科角度看,目前可以肯定的诊断:李斯特菌败血症——血培养阳性可以证明,李斯特菌败血症可以出现发热、肝脾大,甚至血三系细胞下降,而该患者曾用氨苄西林及庆大霉素后体温下降3天,但稍后又上升,此后血培养未见该菌。我想这个诊断不能解释全貌。另外,患者支扩肯定,感染明确,从该患者痰检结果及对某些抗生素的反应来看,细菌感染可能贯穿本病的始终,但是这个感染是否能解释整个发病的情况?是否合并有其他的感染?该患者生长在甘肃根据发热、肝脾大、流行病学的特点主要考虑两种寄生虫病,一是黑热病为利什曼原虫引起,分皮肤型或内脏型表现为不规则发热、肝大、巨脾、全血细胞减少特异的可以在皮肤、骨髓、肝脾活检或培养中找到巨噬细胞内利-杜体而该患者这点不支持。二是布氏杆菌病,表现为波状热、多汗、关节痛、睾丸炎布氏杆菌凝集试验 +,肝脾骨髓病理提示肉芽肿形成。该患者发热为不典型波状热该病菌有待进一步排除。结核病:主要考虑无反应结核。该病多见于机体免疫功能极度低下的病人,以网状内皮系统严重受损为主,病灶周围无细胞反应的结核性败血症。临床以持续发热、肝脾淋巴结肿大、消瘦、衰竭、X线胸片缺乏典型血行播散型肺结核为特征。该病人影像学及痰找TB均未找到证据临床上难以明确是否存在结核。但是若为无反应结核其肝脾内抗酸杆菌应会很多,该患者病理却没有,因此不支持无反应结核的诊断。
, 百拇医药
    该患者细菌感染肯定,我们认为病人存在一个引起反复感染的基础病,根据其自幼反复流黄涕,支气管扩张合并反复感染, Ig 水平降低, B细胞数量严重减少,CD4+比例降低,CD8+比例很高(占65%),整个B细胞激活亚群明显增多,T细胞免疫功能低下等,考虑其存在免疫功能缺陷,结合其临床及实验室检查考虑为一种疾病,称为普通变异性免疫缺陷综合征(CVID)。我个人认为可以诊断CVID。这种病表现为B细胞活化障碍,分泌抗体功能下降。发病的高峰为20~30岁,临床有鼻窦、支气管、肺、泌尿系、消化系统、甚至中枢系统的反复感染,同时CVID合并肿瘤的比例很高,比正常人合并肿瘤的发病率高128倍。所以目前该患者感染明确,合并有免疫缺陷,但是仍不能解释病程全貌,尤其是右肺门肿物的进行性增大和患者切脾后体温一度下降均难以解释。所以我们认为血液系统的恶性肿瘤不能完全除外,尤其是免疫缺陷可以合并肿瘤。

    留永健(呼吸科主治医):该病人与呼吸科有关的情况包括:幼时流黄涕,11岁反复咯脓痰、血丝痰,17岁大咯血,此次出现发热。整体上说其自幼即有反复鼻窦及肺部感染,加上明确的支气管扩张,所以要考虑支扩的常见原因包括囊性纤维化该病在西方最常见,而国内也不少见,但国内现缺乏相应的汗腺检查手段,但该病应有胰腺、汗腺的异常,而此患者并没有相应的表现。还要查Ig水平,可能因为Ig水平低造成了反复的感染。此外如RA或SS也可以并发支扩。我考虑这个病人的基础病应该是CVID。不同于吕大夫的是我认为这个病可以解释本病的全貌。在哈里森内科学上对CVID的描述与该病人非常符合,有非常重的肺部感染合并支扩,因为B细胞成熟障碍,在遇到抗原时难以产生有效的抗体,所以淋巴结、脾脏都会有很强的反应;还会有高热、贫血、血小板下降,40~50岁时会比正常人有更高的肿瘤发病率。所以CVID可以诊断,但是建议再复查一下Ig。治疗上需要用静脉内免疫球蛋白(IVIG) 400~500 mg/kg/3~4W进行补充治疗。关于咯血的原因,刚开始可能为支气管破裂,因为当时出血量不小,此后的咯血考虑还是感染造成的小血管破裂出血。支气管镜有助于了解出血的原因和取病理,但是活检结果可能只是反应性增生。
, 百拇医药
    宋合斌(病理科医师):该病人送检为完整切除脾,重1645g,弥漫散在分布灰白和灰黄样粟粒状结节,直径0.05~0.3 cm;送检部分肝,切面可见灰黄粟粒状结节,直径 0.1~0.2 cm。病理诊断:肝脾原因不明性髓外造血,伴吞噬红细胞现象;脾多发性坏死为碎片样坏死,而非干酪样坏死,坏死周围组织小灶性散在的异型细胞,为巨核细胞,并可见红系粒系造血细胞。特殊染色网织(-)、抗酸(-)、 PAS染色 (-)。免疫组化:CD15(++)、MAC(++)、CD3(+)、CD43(++)、NK1(+)、CD20(-)、CD79 α(-)。

    刘晓红(消化科教授):脾大不能用髓外造血解释,因为该患者肝中异形巨核细胞并没有骨髓纤维化那么多,可见很多红细胞阻滞在脾内。已知脾大的原因有两种:(1)浸润性,目前没有病理提示。(2)淤血性。该患者看来与感染造成的淤血有关。例如班替氏综合征肝硬化,门脉并无明确改变,但是肝内小血管壁增厚压力会增高,进而造成淤血性改变。可惜这个患者术前未能行门脉系统的彩超了解门脉压力是否增高。但是病理如果发现门脉分支血管壁的增厚也能成为支持点。至于淋巴瘤,诊断依据不足,尤其缺乏病理证据。而肺门肿物近来变化不大,所以我个人认为肺门的淋巴结活检意义也不大。CVID可以反复出现各种感染包括CMV感染。该患者脾有多发的坏死感染灶。所以我认为CVID可以解释病情的全貌。

    点评

    最初收治该病人时,我们也曾认为是淋巴瘤或是恶组。但是注意到该患者Ig非常低,而且化疗前低,这点意义很大。Ig低有多种可能疾病,其中包括CVID和选择性Ig缺乏。临床上这种病人也并不少见,最后往往死于感染和肿瘤。CVID病人可以出现各种感染,将来也完全有可能发生肿瘤。治疗上应给予定期的IVIG支持治疗,加强抗感染。在诊断方面我们除要抓突出表现外,还要注意特殊的细节,往往能提示诊断。 曾小峰, 百拇医药