多囊性肾发育不良
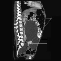
患儿,女,2岁,因发现腹部囊性肿物6天入院。各项实验室检验均未见异常。CT平扫及增强后显示腹膜后巨大囊性占位性病变,密度均匀,其间可见分隔;肠管及膀胱受压移位,左肾未见异常,右肾区未见肾影,于盆腔左侧、髂动静脉的前方可见一强化明显的小肾(图1、2)。CT及超声诊断为腹膜后淋巴管瘤、右肾发育不良、异位。术前诊断为腹膜后淋巴管瘤合并右肾发育畸形。病理诊断:右侧多囊性肾发育不良,残存小肾皮髓结构不清,输尿管远端闭锁(图3)。

, http://www.100md.com