当前位置:
首页
>
医疗版
>
疾病专题
>
呼吸内科
>
肺炎
>
衣原体肺炎
编号:
10738740
支原体肺炎的影像学表现
http://www.100md.com
2005年6月1日
北京青年报
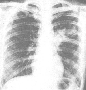
1.早期双肺纹理增多模糊与网状阴影,以间质病变为主,与病毒性肺炎、机遇性肺炎等无法区别。
2.中下肺野较低密度斑片状的阴影.密度不均,常呈单侧。
3.一个肺叶或肺段实变,但边缘模糊呈网状结节状,无清晰的分界,常伴有肺门淋巴结肿大,并随症状的吸收而缩小或消失。
4.并发症较多,尤其胸膜炎的发生率高,主要表现为胸腔积液和胸膜反应性增厚。
5.一般两周左右开始吸收,1-2月可明显吸收或完全吸收。
(如图所示,正位显示左中肺叶模糊阴影,左肺门增大。)
, 百拇医药
百拇医药网
http://www.100md.com/html/DirDu/2005/06/01/73/80/74.htm