当前位置: 首页 > 期刊 > 《临床放射学杂志》 > 2000年第8期
编号:10685270
三维梯度回波增强MRA对脑巨大动脉瘤的应用价值
http://www.100md.com 《临床放射学杂志》 2000年第8期
脑动脉瘤|磁共振成像|技术,关键词:
三维梯度回波增强MRA对脑巨大动脉瘤的应用价值
三维梯度回波增强MRA对脑巨大动脉瘤的应用价值

     朱文珍 王承缘 漆剑频 朱文珍(430030 武汉,同济医科大学 附属同济医院放射科);王承缘(430030 武汉,同济医科大学 附属同济医院放射科);漆剑频(430030 武汉,同济医科大学 附属同济医院放射科) 临床放射学杂志 2000 0 19 8


    关键词:脑动脉瘤;磁共振成像;技术 期刊 lcfsxzz 0 中枢神经放射学 fur -->


    

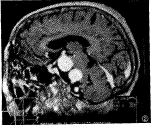
【摘要】 目的 评价三维梯度回波(3D-SPGR)增强MRA对颅脑巨大动脉瘤的应用价值。 材料与方法 16例共18个巨大动脉瘤,包括颈内动脉虹吸部10个,椎动脉4个,基底动脉1个,大脑前动脉1个,前交通动脉1个,后交通动脉1个。MR机为GE 1.5T超导型及相应工作站。增强3D-SPGR轴位扫描后,进行矢、冠、斜位等多平面重建(multiplanner reconstruction,MPR),并与传统3D-TOF法MRA进行对比。 结果 3D-SPGR增强MRA及MPR能较好地显示动脉瘤的真实大小及瘤内成分,显示动脉瘤颈及其与载瘤动脉的关系,还能明确动脉瘤与周围神经血管及脑实质等结构的关系。 结论 3D-SPGR增强MRA对颅脑巨大动脉瘤有较大的应用价值,更优于传统MRA。

Evaluation of Enhanced3D-SPGR MRA in Diagnosing Large Intracr anial Aneurysm

ZHU Wenzhen, WANG Chengyuan, QI Jianpin

     ......


您现在查看是摘要页,全文长 9238 字符