当前位置: 首页 > 期刊 > 《临床放射学杂志》 > 2000年第6期
编号:10685322
前列腺恶性黑色素瘤一例
http://www.100md.com 《临床放射学杂志》 2000年第6期
前列腺恶性黑色素瘤一例
前列腺恶性黑色素瘤一例

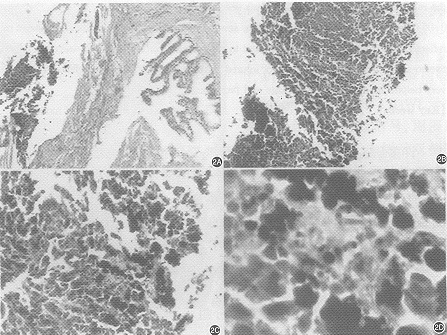
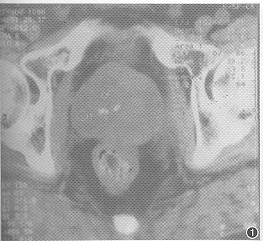
     王学廷 张宝玉 王学廷(255300 山东淄博,中国人民解放军第148医院放射科);张宝玉(中国人民解放军第148医院病理科) 临床放射学杂志 2000 0 19 6


    关键词: 期刊 lcfsxzz 0 病例报告 fur -->


    

恶性黑色素瘤占原发恶性肿瘤的1% ......


您现在查看是摘要页,全文长 1944 字符