当前位置: 首页 > 期刊 > 《临床与实验病理学杂志》 > 2000年第2期
编号:10685774
肺粘膜相关型淋巴瘤与肺炎性假瘤临床病理及免疫组化研究
http://www.100md.com 《临床与实验病理学杂志》 2000年第2期
肺肿瘤|粘膜相关型淋巴瘤|炎性假瘤|免疫组织化学,关键词:
肺粘膜相关型淋巴瘤与肺炎性假瘤临床病理及免疫组化研究

     张江兰 徐天蓉 范钦和 张智弘 (南京医科大学一附院病理科 210029) 临床与实验病理学杂志 2000 0 16 2


    关键词:肺肿瘤;粘膜相关型淋巴瘤;炎性假瘤;免疫组织化学 期刊 lcysyblxzz 0 100-103 论著—人体病理学 fur -->


    

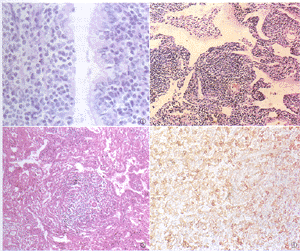
摘要 目的:探讨肺粘膜相关型淋巴瘤和肺炎性假瘤的病理特征及相互关系。方法:对9例肺粘膜相关型淋巴瘤和6例肺炎性假瘤进行临床病理及免疫组化研究。结果:男性多见,平均年龄58岁,干咳、胸闷、胸痛为主要症状。病理形态:肺粘膜相关型淋巴瘤9例,细胞类型,CCL细胞性6例、小淋巴细胞性2例,淋巴浆细胞性1例。肺炎性假瘤6例。免疫组化证实,肺粘膜相关型淋巴瘤9例LCA+ 、L26+ 、IgM、κ或λ呈单克隆性,6例炎性假瘤显示多克隆性。结论:两者临床鉴别困难,病理诊断须依靠免疫组化才能鉴别,两者均应以手术治疗为主。

    中图分类号 R734.2 文献标识码 A 文章编号 1001-7399(2000)00-0100-04

Aclinicopathological and immunohistochemical study between pulmonary MALT-type lymphoma andinflammatory pseudotumor

Zhang Jianglan, Xu Tianrong, Fan Qinhe, Zhang Zhihong

     ......


您现在查看是摘要页,全文长 13151 字符