当前位置: 首页 > 期刊 > 《临床放射学杂志》 > 2000年第7期
编号:10685295
体外碎石后输尿管瘢痕形成
http://www.100md.com 《临床放射学杂志》 2000年第7期
体外碎石后输尿管瘢痕形成
体外碎石后输尿管瘢痕形成

刘禄明 曹风福 孙百胜 刘禄明(250101 济南,武警山东省总队医院CT室);曹风福(250101 济南,武警山东省总队医院CT室);孙百胜(250101 济南,武警山东省总队医院CT室) 临床放射学杂志 2000 0 19 7
关键词: 期刊 lcfsxzz 0 病例报告 fur -->

患者 女,右侧腰痛3个月。1年前右输尿管结石行体外碎石术治愈。查体:右侧腹部轻度压痛,未扪及肿块,右侧肾区叩击痛。腹部X线平片未见异常。
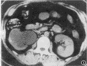
CT扫描见右肾重度积水,肾皮、髓质萎缩变薄(图1),近段输尿管扩张,至腰4 椎体水平扩张的输尿管截断,形成一约2.0cm×1.6cm×0.8cm大小的不规则形软组织样肿块(图2),CT
值45HU±,边缘模糊、毛糙,并见多束条索状结构延伸至右侧腹壁,结合病史,CT诊断右输尿管瘢痕形成继发肾积水,肾无功能。
行右肾及部分输尿管切除术,病理诊断右输尿管瘢痕形成,右肾积水,无功能。
讨论 本病极少见,属体外碎石治疗术的严重并发症,从CT上主要与输尿管肿瘤相鉴别,结合病史及CT表现不难鉴别。

(收稿:1999-09-20 ) , 百拇医药