当前位置: 首页 > 期刊 > 《临床与实验病理学杂志》 > 2000年第2期
编号:10685767
外周性原始神经外胚层瘤的形态及免疫组化观察
http://www.100md.com 《临床与实验病理学杂志》 2000年第2期
神经外胚瘤,原始|免疫组织化学,关键词:
外周性原始神经外胚层瘤的形态及免疫组化观察

     丁向东 王志华 牛俊扬 王晓秋 程荣璇 丁向东(合肥市妇幼保健院病理科 230061);王志华 牛俊扬 王晓秋 程荣璇(安徽省立医院病理科,合肥 230001) 临床与实验病理学杂志 2000 0 16 2


    关键词:神经外胚瘤,原始;免疫组织化学 期刊 lcysyblxzz 0 123-125 论著—人体病理学 fur -->


    

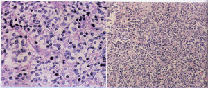
摘要 目的:观察外周型原始神经外胚层瘤(pPNET)的临床病理及免疫组化特征。方法:对10例pPNET进行组织形态学观察及免疫组织化学和组织化学染色。结果:形态学上表现为小圆细胞性呈大片状排列,其间可见纤维结缔组织间隔,瘤细胞呈非典型性菊形团样结构;免疫组化显示NSE呈100%表达,Syn、S-100蛋白和Vim分别为80%(8/10)、60%(6/10)和66.7%(6/9)。结论:根据临床表现、组织形态学特征及其免疫组化表型有助于pPNET的诊断。

    中图分类号 R730.264 文献标识码 A 文章编号 1001-7399(2000)02-0123-03

Pathologicaland immunohistochemical observation of peripheral primitive neuroectodermal tumors

Wang Zhihua Ding Xiangdong Niu Junyang Wang Xiaoqiu Cheng Rongxuan

     ......


您现在查看是摘要页,全文长 18168 字符