当前位置: 首页 > 医疗版 > 疾病专题 > 消化内科 > 胃疾病 > 胃溃疡 > 胃穿孔
编号:10685318
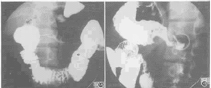
胃穿孔自然闭合一例
http://www.100md.com 《临床放射学杂志》 2000年第6期
胃穿孔自然闭合一例
胃穿孔自然闭合一例

     赵新 吴复扬 赵新(300052 天津医科大学总医院放射科);吴复扬(300052 天津医科大学总医院放射科) 临床放射学杂志 2000 0 19 6


    关键词: 期刊 lcfsxzz 0 病例报告 fur -->


    

本文报道1例胃穿孔自然闭合10年后影像学检查表现 ......


您现在查看是摘要页,全文长 4410 字符