当前位置: 首页 > 期刊 > 《临床与实验病理学杂志》 > 2000年第2期
编号:10685768
霍奇金淋巴瘤EB病毒感染和p53蛋白表达的关系
http://www.100md.com 《临床与实验病理学杂志》 2000年第2期
霍奇金淋巴瘤|疱疹病毒4型,人|蛋白质p53|原位杂交|免疫组织化学,关键词:
霍奇金淋巴瘤EB病毒感染和p53蛋白表达的关系

     叶圣华 张声 陈林莺 林华 (福建医科大学附属第一医院病理科, 福州 350005) 临床与实验病理学杂志 2000 0 16 2


    关键词:霍奇金淋巴瘤;疱疹病毒4型,人;蛋白质p53;原位杂交;免疫组织化学 期刊 lcysyblxzz 0 121-122 论著—人体病理学 fur -->


    

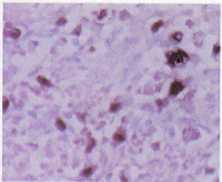
摘要 目的:探讨EB病毒在霍奇金淋巴瘤(HL)潜伏感染和p53蛋白表达的关系。方法:应用EBER-1寡核苷酸探针以原位杂交(ISH)方法检测72例HL组织中的EBER;用免疫组化方法检测p53蛋白表达。结果:发现HL中R-S细胞EBER-1和p53蛋白的阳性率分别为53.20%和47.22%。HL中EBER-1检出率明显高于淋巴结反应性增生组(P<0.05),同时HL中的R-S细胞含有EBV潜伏感染期中高拷贝(RNA,EBER-1)含量丰富,阳性信号在核仁蛋白膜表达。检测HL淋巴细胞衰减型p53的阳性率较高。结论:HL发生可能与EB病毒潜伏感染有关。EB病毒、p53之间可能存在内在联系并相互影响,p53蛋白阳性者预后不良。

    中图分类号 R733 文献标识码 A 文章编号 1001-7399(2000)02-0121-02

The significance of Epstein-Barr virus infection and expression of p53 protein in Hodgkin' s lymphoma

Ye Shenghua, Zhang Sheng, Chen Linying, Lin Hua

     ......


您现在查看是摘要页,全文长 9069 字符