当前位置: 首页 > 期刊 > 《临床放射学杂志》 > 2000年第9期
编号:10685269
胸腔巨大脂肪瘤一例
http://www.100md.com 《临床放射学杂志》 2000年第9期
胸腔巨大脂肪瘤一例
胸腔巨大脂肪瘤一例

王静 王静(833400 新疆博乐,新疆农五师医院CT中心) 临床放射学杂志 2000 0 19 9
关键词: 期刊 lcfsxzz 0 病例报告 fur -->

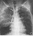
患者 男,17岁。体检发现右胸腔内巨大椭圆形肿物,边界清(图1)。

图1 CT定位片示右侧胸腔巨大椭圆形肿块,边界清

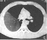
图2 右侧胸腔内类扇形肿物,外缘紧贴侧后胸壁,内见点状钙化

B超示右胸腔内20cm×8.8cm肿块,边缘清,内部呈均质弱回声,考虑脂肪瘤。
CT示右侧胸腔内巨大扇形肿块,内见点、线状钙化,其余为均匀一致脂肪密度,CT值-68HU(图2)。邻近肺组织受压,局部肺纹理密集。CT诊断:胸腔脂肪瘤。
手术病理证实:胸腔脂肪瘤。
讨论 胸腔如此巨大脂肪瘤较少见,仅凭X线平片难与肺包虫及其他良性肿瘤鉴别,而CT扫描则能明确诊断。

收稿:2000-01-17 , http://www.100md.com