当前位置:
首页
>
期刊
>
《临床放射学杂志》
>
2000年第5期
编号:
10685339
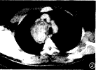
中纵隔右迷走神经神经鞘瘤一例
http://www.100md.com
《临床放射学杂志》
2000年第5期
李海飞 孙本川 唐建东 谭克平
李海飞(264100 山东省烟台市牟平人民医院影像科);孙本川(264100 山东省烟台市牟平人民医院影像科);唐建东(264100 山东省烟台市牟平人民医院影像科);谭克平(264100 山东省烟台市牟平人民医院影像科)
临床放射学杂志
2000
0
19
5
关键词:
期刊
lcfsxzz
0
病例报告
fur
-->
患者
男 ......
百拇医药网
http://www.100md.com/html/DirDu/2005/07/03/68/59/33.htm
您现在查看是摘要页,
全文长 2095 字符
。