当前位置:
首页
>
期刊
>
《临床放射学杂志》
>
2000年第1期
编号:
10685409
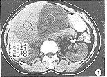
CT诊断肝脏囊腺瘤并囊内出血一例
http://www.100md.com
《临床放射学杂志》
2000年第1期
李云美 雷士印
252100 山东省茌平县人民医院CT室
临床放射学杂志
2000
0
19
1
关键词:
期刊
lcfsxzz
0
病例报告
fur
-->
患者
女 ......
百拇医药网
http://www.100md.com/html/DirDu/2005/07/03/68/59/40.htm
您现在查看是摘要页,
全文长 2524 字符
。