当前位置: 首页 > 期刊 > 《临床骨科杂志》 > 2000年第4期
编号:10687570
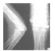
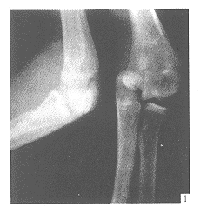
肘关节侧方脱位3例
http://www.100md.com 《临床骨科杂志》 2000年第4期
肘关节|脱位,关键词:
肘关节侧方脱位3例
肘关节侧方脱位3例

     季卫平 孙勇飞 季卫平(丽水市中心医院骨科,浙江 丽水 323000);孙勇飞(青田县第二人民医院骨科,浙江 青田 323903) 临床骨科杂志 2000 0 3 4


    关键词:肘关节;脱位 期刊 lcgkzz 0 308-309 病例报道 fur -->


    

【中图分类号】 R684.7 【文献标识码】 B 【文章编号】 1008-0287(2000)04-0308-02

Three cases of lateral dislocation of elbow

Ji Weiping ......


您现在查看是摘要页,全文长 5199 字符