当前位置: 首页 > 期刊 > 《临床骨科杂志》 > 2000年第2期
编号:10687592
髓内钉治疗胫腓骨骨折45例
http://www.100md.com 《临床骨科杂志》 2000年第2期
胫骨骨折|髓内钉|骨折固定术|髓内,关键词:
髓内钉治疗胫腓骨骨折45例

     刘聪 温贵满 银和平 王永东 张连生 刘聪(呼和浩特铁路中心医院骨科,内蒙古 呼和浩特 010010);温贵满(呼和浩特铁路中心医院骨科,内蒙古 呼和浩特 010010);银和平(呼和浩特铁路中心医院骨科,内蒙古 呼和浩特 010010);王永东(呼和浩特铁路中心医院骨科,内蒙古 呼和浩特 010010);张连生(呼和浩特铁路中心医院骨科,内蒙古 呼和浩特 010010) 临床骨科杂志 2000 0 3 2


    关键词:胫骨骨折;髓内钉;骨折固定术;髓内 期刊 lcgkzz 0 135-136 诊疗经验 fur -->


    

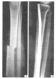
【摘要】 目的 介绍折弯髓内钉治疗胫腓骨骨折的方法与疗效。方法 将V形钉或梅花钉两端折弯治疗胫腓骨骨折45例。结果 随访6个月~5年,平均2年,除2例延迟愈合外,43例术后半年内获骨性愈合,膝踝关节功能良好。结论 该方法可为骨折愈合创造有利的力学环境,维护骨折部的血运,减少术后感染,是治疗胫腓骨骨折理想方法之一。

     ......


您现在查看是摘要页,全文长 7287 字符