当前位置:
首页
>
期刊
>
《临床骨科杂志》
>
1999年第2期
编号:
10661219
自制L形钢板内固定治疗肱骨外科颈骨折
http://www.100md.com
《临床骨科杂志》
1999年第2期
肱骨骨折|L形钢板|骨折固定术,关键词:,1材料与方法,2结果,3讨论
金振兴 尚清芳 程亮
胶州市人民医院骨科,山东 胶州 266300
临床骨科杂志
1999
0
2
2
关键词:
肱骨骨折;L形钢板;骨折固定术
期刊
lcgkzz
0
技术改进
fur
-->
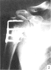
【摘要】 目的
介绍自制L形钢板治疗肱骨外科颈骨折的疗效。
方法
应用自制L形钢板治疗肱骨外科颈骨折16例 ......
百拇医药网
http://www.100md.com/html/DirDu/2005/07/04/66/19/21.htm
您现在查看是摘要页,
全文长 4115 字符
。