当前位置:
首页
>
期刊
>
《中国肿瘤临床》
>
2000年第4期
编号:
10661769
原发性纵隔内胚窦瘤(1例报告及文献复习)
http://www.100md.com
《中国肿瘤临床》
2000年第4期
姚丽青 季天海
姚丽青 福州东方医院病理科(福州市 350025);季天海 福州东方医院病理科(福州市 350025)
中国肿瘤临床
2000
0
27
4
关键词:
期刊
zgzllc
0
301
短篇及病例报告
fur
-->
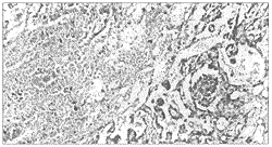
内胚窦瘤又名卵黄囊瘤 ......
百拇医药网
http://www.100md.com/html/DirDu/2005/07/04/66/19/76.htm
您现在查看是摘要页,
全文长 2517 字符
。