当前位置: 首页 > 期刊 > 《口腔医学》 > 1999年第3期
编号:10662458
免疫功能正常小鼠肾囊膜下移植舌癌模型的建立
http://www.100md.com 《口腔医学纵横》 1999年第3期
小鼠|肾囊膜下|舌癌模型,关键词:
免疫功能正常小鼠肾囊膜下移植舌癌模型的建立
免疫功能正常小鼠肾囊膜下移植舌癌模型的建立

     彭利伟 李金荣 武汉市(430079)湖北医科大学口腔医学院 口腔医学纵横 1999 0 15 3


    关键词:小鼠;肾囊膜下;舌癌模型 期刊 kqyxzh 0 论著 fur -->


    

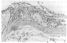
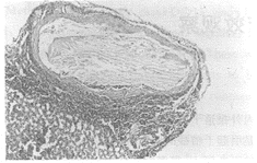
摘要 目的: 建立免疫功能正常小鼠肾囊膜下移植舌癌模型。材料和方法 :利用SRCA技术,建立移植舌癌模型,观察移植前后瘤体大小的变化,并对移植瘤进行病理切片观察。结果: 舌癌移植后第6天瘤体增长率为87.8%(7/8)(P<0.05),病理切片证实其为高分化性鳞癌。结论: 小鼠肾囊膜下移植舌癌模型的建立具有可行性,它可为舌癌的基础与临床研究提供一个经济、快速、高效的动物模型。

    中图分类号 R739.86



    Establishment of the subrenal capsule model of

    tongue cancer in normal immunocompetent mouse.

Peng Liwei, Li Jinrong. College of Stomatology,

    Hubei Medical University. Wuhan 430079

Abstract Objective: To set up a model of tongue cancer that a human tongue xenograft was transplanted under the renal capsule of normal immunocompetent mouse. Materials and Methods: SRCA was used to set up a transplanted model of tongue cancer, and the variation of tumor size was measured between day of sacrifice of the mouse and day of implantation, and the histologic morphology of transplanted tumor was observed. Results: On the 6th day after tongue xenografts were implanted, the growth rate of xenografts was 87.8%(7/8) (t test, P<0.05), and pathology sections proved that the transplanted tumor were highly-differentiate squamous cell carcinoma. Conclusions: It is feasible to set up the mouse subrenal capsule model of tongue cancer, which can provide an inexpensive, rapid, and efficient model for the study of tongue cancer.

     ......


您现在查看是摘要页,全文长 9692 字符