当前位置: 首页 > 期刊 > 《蚌埠医学院学报》 > 2000年第5期
编号:10665909
放射性肺炎的X线和CT诊断
http://www.100md.com 《蚌埠医学院学报》 2000年第5期
肺炎|断层摄影术,X线计算机|X线,关键词:
放射性肺炎的X线和CT诊断
放射性肺炎的X线和CT诊断

     顾素英 张开华 刘辉 郭彬 顾素英(蚌埠医学院附属医院放射科);张开华(蚌埠医学院附属医院放射科);刘辉(蚌埠医学院附属医院放疗科,安徽 蚌埠 233004);郭彬(蚌埠医学院附属医院放射科) 蚌埠医学院学报 2000 0 25 5


    关键词:肺炎;断层摄影术,X线计算机;X线 期刊 bbyxyxb 0 影像医学 fur -->


    

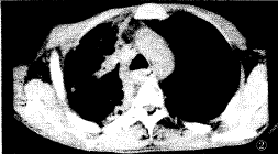
[摘要] 目的:对比分析放射性肺炎的常规X线和CT特点,评价CT对本病的诊断价值。方法:回顾性分析46例放射性肺炎的常规X线和CT表现。结果:放射性肺炎的典型表现为照射野内散在分布小灶性渗出性病变;形态与照射野一致的大片密度增高影;肺间质增厚和(或)肺纹理增粗;边缘锐利清晰的纤维化影或肺不张,该表现多见于中后期。结论:CT对放射性肺炎的诊断明显优于X线,且两者对该病的临床治疗和预后判断具有重要意义。

    [中国图书资料分类法分类号] R 563.1;R 814.42 [文献标识码] A

    [文章编号] 1000-2200(2000)05-0372-02

X-rays and CTdiagnosis of radiation pneumonia

GU Su-ying ......


您现在查看是摘要页,全文长 8781 字符