当前位置: 首页 > 期刊 > 《中日友好医院学报》 > 1999年第3期
编号:10666992
肺类癌1例
http://www.100md.com 《中日友好医院学报》 1999年第3期
肺类癌1例
肺类癌1例

陈皓 王武 陈皓 王武(中日友好医院放射诊断科) 中日友好医院学报 1999 0 13 3
关键词: 期刊 zryhyyxb 0 病例报告 fur -->

患者男性 60岁
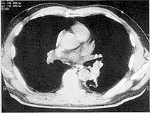
因刺激性干咳8a,加重2a,于1998年9月2日入院。查体:左下背部呼吸音较弱。CT示:左肺门软组织肿块,约2.1cm×4.0cm,密度不匀,CT值29.0Hu~48.0Hu,边缘不整,左下叶支气管腔变窄(图1、2),伴左下肺阻塞性炎症,纵隔淋巴结转移;支气管镜检示:左主支气管分叉处粘膜隆起呈肿块状,浸润生长堵塞背支开口。手术所见肿瘤位于下叶背段,约3cm×4cm×4cm,呈不规则形,肺门淋巴结肿大,融合成团。病理诊断:肺类癌,支气管断端处淋巴结可见转移癌,淋巴管内可见癌瘤。


左:纵隔窗右:肺窗
附图 胸部CT示
左肺门软组织肿块,大小约2.1cm×4.0cm,密度不均,CT值为29.0Hu~48.0Hu(左图),边缘不整,左下叶支气管腔变窄(右图)

讨论 肺类癌多见于成年人,发病年龄早于肺癌,病程一般较长,平均6a。肺类癌来源于支气管粘膜含有神经分泌颗粒的嗜银K细胞。由于支气管嗜银K细胞多分布于段以上支气管,因而中心型类癌也相对多见。中心型类癌出现症状早就诊亦较早,发现瘤体都较小,瘤体最大径<5cm。本例患者即为中心型类癌。肺类癌影像上分为中心型及周围型,中心型类癌常表现为肺门区圆形或椭圆型肿块,断层片示支气管受阻,断端呈杯口状凹陷,边缘多较光滑锐利。由于气道阻塞可出现阻塞性炎症、肺气肿或肺不张。周围型肺癌表现为肺内圆形或椭圆形肿块影,周围无卫星灶。

(1999-02-02收稿 1999-03-17修回) , 百拇医药