当前位置: 首页 > 期刊 > 《中日友好医院学报》 > 2000年第1期
编号:10666923
37例苯丙酮尿症患者的骨骼X线学表现
http://www.100md.com 《中日友好医院学报》 2000年第1期
张雪哲 尚燕宁 喻唯民 李永发 王永春 王武 张雪哲 尚燕宁 李永发 王永春 王武(中日友好医院 放射诊断科,北京 100029);喻唯民(中日友好医院临床医学研究所 细胞生物室,北京 100029) 中日友好医院学报 2000 0 14 1
关键词:苯丙酮尿症;骨骼;放射摄影术 期刊 zryhyyxb 0 15-17 临床医学 fur -->

摘要: 目的:探讨苯丙酮尿症患者的骨骼X线学表现。方法:37例苯丙酮尿症,其中男性25例、女性12例,年龄6个月~9岁。所有病例都作手、腕和膝关节X线检查以及实验室检查。结果:苯丙酮尿症骨骼改变分为6种情况:未见异常,脱钙,干骺端改变,特殊改变,骨年龄滞后和其它。特异性改变包括骨干条纹状改变(12例)和干骺端鸟嘴状突起(21例)。结论:苯丙酮尿症特异性的骨骼改变是诊断苯丙酮尿症的重要X线征。
中图分类号: R 816.92 文献标识码: A
文章编号: 1001-0025-(2000)01-0015-03

ROENTGENOLOGIC BONE CHANGES IN PHENYLKETONURIA

ZHANG Xue-zhe SHANG Yan-ning
( Department of Diagnostic Radiology,China-Japan Friendship Hospital,Beijing 100029 )
YU Wei-min
( Department of Cell Biology,Institute of Clinical Medical Sciences,China-Japan Friendship Hospital,Beijing 100029 )

Abstract: Objective:To describe the bone X-ray changes in phenylketonuria.Methods:Thirty seven cases of phenylketonuria were involved in the present study,which included 25 males and 12 females with an age of six months to nine years old.All cases underwent X-ray examination of the hands,wrists and knees and experienced laboratory examination.Results:The bone changes of the 37 cases were classified into six groups:no abnormal findings,osteoporosis, metaphyses changes,specific changes,the bone age delayed and miscellaneous.Specific changes included striations into the diaphysis(12 cases) and beaking of the metaphyseal margin(21 cases).Conclusion:The special bone changes in phenylketonuria were important X-ray signs suggestive of phenylketonuria.
Subject
headings:phenylketonuria;skeleton;radiography

苯丙酮尿症是氨基酸代谢异常的常染色体隐性遗传病。其主要临床表现为智力低下、行为异常和癫痫发作,皮肤和毛发逐渐变为浅淡,虹膜色素减少,尿和汗有特殊发霉气味等。关于本病骨骼方面改变国外文献1962年及1964年仅有少数报道,国内尚未见有报告。我们1984年12月~1998年12月间对经临床和实验室检查确诊的37例经典型苯丙酮尿症患者做了骨骼X线检查,结果报道如下。

1 资料与方法
1.1 一般资料
37例中,男性25例、女性12例;年龄6个月~9岁,其中6个月~1岁者12例、1岁1个月~2岁者10例、2岁1个月~3岁者6例。记载有家族史者2例。多数病例是在新生儿期之后出现临床症状。就诊者均拍摄手腕部、肘关节和膝关节关节正位X线相。
1.2 实验室检查
本组病例均做过尿的生化过筛检查,包括三氯化铁试验和二硝基苯肼试验,均呈阳性反应。所有的病例同时作血苯丙氨酸测定(正常值<2 mg/dl),测定值均>20 mg/dl。

2 X线表现
据本组资料,苯丙酮尿症的骨骼X线表现分为6种情况:未见异常;脱钙;干骺端改变;特异性改变;骨年龄滞后和其它。
未见异常 6例,只能代表受检部位骨骼正常,不能除外其它部位骨骼无异常。此6例中5例年龄在6个月~1岁之间,1例为3岁。
脱钙 19例,年龄10个月~4岁。苯丙酮尿症患儿在骨骼X线片上可仅表现为脱钙(1例),多数都伴有其它骨骼的异常改变,呈轻、中度脱钙。与其它原因导致的脱钙在X线片上无法区别。
干骺端改变 7例,年龄8个月~2岁6个月。X线表现为轻度杯口状膨大,临时钙化带增厚,无毛刷状改变,以手腕部明显。此7例中5例伴有脱钙。
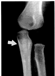
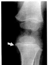
特异性骨骼改变 包括2种改变。一种是骨干条纹状改变,12例,于8个月~9岁之间均见此改变,其中>1岁者8例。X线片示高密度细条索影与骨干相平行,位于骨松质骨内,可延续延伸至干骺端(图1,2)。此12例中10例均伴有轻、中度脱钙。骨干条纹状改变均见于尺桡骨和股骨的长管状骨;二是干骺端两侧缘鸟嘴状突起,21例,见于股骨下端和胫骨上端大干骺端(图3)。本文37例患儿的各个年龄段都可以出现此种改变。
骨年龄滞后 本组进行骨年龄测量25例,结果骨年龄正常者3例,骨年龄滞后者22例。骨年龄较实际年龄滞后<5个月者7例,滞后5个月~1岁者4例,滞后>1岁者11例。
其它 生长障碍线常伴有骨年龄的滞后,本组13例出现生长障碍线的病例中有10例骨年龄滞后。1例于桡骨中段桡侧皮质出现局限性骨膜下吸收。

3 讨论
3.1 苯丙酮尿症患儿骨骼的X线改变
苯丙酮尿症骨骼X线改变自60年代报告以来,很少引起人们的注意,亦无详尽的叙述。结合文献报道及本文37例苯丙酮尿症骨骼X线改变,将其改变归纳为非特异性改变和特异性改变两类。
非特异性改变,如脱钙、干骺端杯口状改变、临时钙化带增厚和骨年龄滞后等。苯丙酮尿症患儿的干骺端改变与佝偻病有所不同,干骺端杯口状改变不伴有临时钙化带模糊不清或消失;无毛刷状影改变,亦无骨骺软骨盘增宽。常常伴有骨骺成熟迟缓。
特异性改变,如骨干条纹状改变和干骺端两侧缘鸟嘴状突起。
在X线诊断方面,当发现骨干条纹状改变、干骺端两侧缘鸟嘴状突起合并骨质脱钙、骨年龄发育迟缓,应首先想到苯丙酮尿症的可能。如果临床提供有智力发育迟缓或低下、癫痫发作、皮肤和毛发逐渐变浅以及患儿有特殊的发霉样或鼠尿样的气味等依据,则更应考虑到此病。有条件的医疗单位应作尿三氯化铁和二硝基苯肼试验以及血苯丙氨酸测定等,以便及时确诊治疗。
3.2 苯丙酮尿症患儿骨骼改变的原因
对于上述骨关节改变的病理基础和发病机理尚不太清楚。Allen等[1] 研究指出,苯丙酮尿症患者骨矿化减少,此研究将32例青春期前的苯丙酮尿症和95例正常对照组作全身的骨矿物质测定;并作24例苯丙酮尿症脊椎矿物质测定与55例对照组相比较,结果示苯丙酮尿症的全身矿物质测定和脊椎矿物质测定值显著低于对照组。当给予苯丙酮尿症患者服用高量的钙、磷和镁后再作矿物质测定,测量值仍低下。这说明苯丙酮尿症骨质不足并不是营养缺乏所致。苯丙氨酸在血中浓度增高与骨骼改变是有关的。高浓度的苯丙氨酸及其代谢产物不仅干扰脑的代谢,使介质合成减少,氨基酸的转动系统受到抑制,氨基酸的比例失调,严重干扰蛋白质的合成及骨基质的形成,由此引起骨骼的一系列变化。1994年Murdoch等提出碱性磷酸酶明显低下与骨骼变化有关。上述的推测和解释有待进一步研究。
总之本病骨骼变化的原因尚不清楚,骨骼的改变虽然相当多见(占83.7%),但还有少数患者X线检查是阴性的,这是在诊断本病时需要注意的。苯丙酮尿症的骨骼改变要特别注意观察其特异性表现,对于骨年龄测量应予足够的重视。因此,对怀疑此病的患者均应拍摄手腕部正位、肘关节正位和膝关节正位等X线片,以便作较全面的观察。

图1 苯丙酮尿症男孩, 5岁,示桡骨干远端松质骨内细
条状高密度影,与骨干相平行。骨年齿测量相当 2 岁左右

图 2 苯丙酮尿症女孩 个 月,示尺骨干近端松质骨内细
条状高度影。骨年齿测量相当 3个月-5个月婴儿

图 3 苯丙酮尿症女陔2岁4个月,示干骺端两侧缘鸟嘴
状突 起,以胫骨近端干骺端内侧为明
显。于胫骨、股骨干骺端可见横行的
生长障碍线。骨年齿测量相当6个月
-8个月婴儿

作者简介:张雪哲 (1937-) ,男,教授,中华医学杂志编委,中华放射学杂志副总编,英国皇家医学会会员

参考文献:

[1] Allen JR,Humphries IR,Waters DL,et al.Decreased bone mineral density in children with phenylketonuria[J].Am J Clin Nutrition,1994,59(2):419-422.

收稿日期: 1999-07-09 ;修订日期: 1999-08-30 , 百拇医药