当前位置: 首页 > 期刊 > 《中华实验外科杂志》 > 1999年第5期
编号:10669652
2-氯乙基-3-肌氨酸酰胺-1-亚硝脲对荷人脑胶质瘤动物模型的疗效分析
http://www.100md.com 《中华实验外科杂志》 1999年第5期
黄强 王刚 陈忠平 孙志方 周丽英 王爱东 Panasci LC 215004 苏州医学院附属第二医院神经外科;Panasci LC (McGill University,Montreal,Canada HT3 1E2) 中华实验外科杂志 1999 0 16 5
关键词:脑胶质瘤;亚硝脲类药;实验化疗;裸鼠 期刊 zhsywkzz 0 脑胶质瘤 fur -->

【摘要】 目的 探讨新型亚硝脲类抗癌药2-氯乙基-3-肌氨酸酰胺-1-亚硝脲(SarCNU)在动物体内抗人脑胶质瘤的效果。方法 腹腔给SarCNU和BCNU、VM26,观察位于皮下和颅内移植瘤的生长情况、宿主的体重变化。结果 SarCNU与对照组相比能明显抑制皮下移植瘤的生长和延长宿主的生存期。结论 SarCNU比目前临床上常用的BCNU和VM26具有更强的抑制人脑胶质瘤生长的作用。

Therapeutic effect of SarCNU in the treatment of human glioma nude mice model

HUANG Qiang ,WANG Gang ,CHEN Zhongping ,et al .
(Department of Neurosurgery and Brain Tumor Laboratory ,Second Affiliated Hospital of Suzhou Medical College ,Suzhou 215004)

【Abstract】 Objective To investigate the efficiency of a new analogue of chloroethylnitrosoureas (CENUs) which is 2-chloroethyl-3-sarcosinamide-1-nitrosourea (SarCNU) against the human glioma SHG-44 xenograft. Method SarCNU, BCNU and VM26 were intraperitoneally given to observe the growth of the subcutaneous or intracranial tumor and the weight of the nude mice.Results As compared with control group, SarCNU can inhibit tumor growth apparently and prolong the survival of mice with the human glioma xenografts. Conclusion SarCNU has a stronger inhibitory effects on human gliomas than BCNU and VM26 which are clinically commonly used at present.
【Key words】 Brain tumor CENUs Chemotherapy Nude mice

2-氯乙基-3-肌氨酸酰胺-1-亚硝脲(SarCNU)以其特有的药代动力学方式取胜于其他亚硝脲类药物(CENUs)。在体外细胞毒试验中已经取得明显效果的基础上[1] ,我们研究SarCNU在荷人脑胶质瘤裸小鼠体内抗瘤作用和部分毒副反应,结果报道如下。

材料和方法
1. 实验动物 使用本室繁育在SPF动物房内的NC系裸鼠[2] ,体重22g左右。SHG-44人脑胶质瘤接种按参考文献[3]的方法,皮下肿瘤长至200mg左右,脑内接种后4天开始实验治疗。
2. 治疗方法 SarCNU溶解在0.001mol/L、pH4.0的柠檬酸溶液中,-20℃保存;BCNU(美国BMS公司产品)溶解在10%乙醇中,-20℃保存;VM26(美国BMS公司产品)室温保存,实验前溶于生理盐水。每次用药剂量SarCNU为167mg/kg体重,VM26为3.4μg/kg体重,BCNU为20mg/kg体重(第3批为30mg/kg体重),腹腔注射每4天1次,共3次。
3. 疗效评估 皮下移植瘤,每周测量2次,根据公式W=a2 ×b/2计算其大小,其中W为肿瘤体积或重量(mm3 =mg),a为肿瘤短径,b为肿瘤长径。根据公式%T/C分析疗效,其中T和C分别是治疗组和对照组肿瘤重量,当T/C×100%时的值≤40%为有效。肿瘤较对照组轻50%以上时为肿瘤缩小,缩至无法用卡尺测量时(≤32mg)为消失。
4. 毒副作用 (1)体重:每周2次测肿瘤重量的同时称鼠体重,根据公式Wn=Wa-Wt计算鼠的实际体重,其中Wa为荷瘤鼠的总重量,Wt为瘤重量,Wn为荷瘤鼠净体重;(2)药物毒性相关致死指标(DRD):末次给药15天内死亡,并且死亡时的体重较对照组减轻超过20%者,可视为药物毒副作用死亡。

结 果
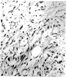
皮下移植瘤的肉眼大小变化见表1和图1,体重变化见图2。从表1中可见,SarCNU (167mg/kg体重)组的疗效与BCNU(20mg/kg体重)相比,第1批实验SarCNU 5只鼠皮下移植瘤最终(32天)5/5消失,而BCNU组仅有2/5肿瘤缩小,没有消失者。第2批实验与第1批基本相同,所不同的是SarCNU组最终4/5肿瘤消失,1/5肿瘤明显缩小,而BCNU组没有肿瘤缩小。第3批实验把BCNU剂量加大至30mg/kg体重,还加了1组VM26作为对照,并延长了实验观察时间。结果发现,SarCNU组7/7肿瘤缩小,没有肿瘤消失,并在末次给药后第27天肿瘤开始生长。实验结束时,各组的移植瘤经病理学光镜检查,提示SarCNU组的肿瘤组织中细胞成分很少,间质明显纤维化,而BCNU、VM26组的肿瘤组织中细胞成分明显增多,核分裂相对易见。而生理盐水组中还可见到血管内皮细胞增生,坏死出血改变(图3)。颅内接种动物生存期观察,SarCNU(5只)组,于第130天死亡1/5,中位生存期>130天,BCNU(6只)组,分别于19、20、22、22、23、23天死亡,中位生存期为22天。VM26(5只)组,分别于20、22、23、24、25天死亡,中位生存期为23天,生理盐水对照组(8只),分别于14、14、15、18、19、19、20天死亡中位生存期为18天。SarCNU的生存期与其他各组相比,差异具有显著性(P<0.001)。

表1 SHG-44人脑胶质瘤皮下移植瘤的疗效观察

实验 组别 动物数 DRD TFA(天) R %T/C(天)
实验1 生理盐水 5 0 0(32) 0
SarCNU 5 0 5(32) 0
BCNU 5 0 0(32) 2 10.9(14)
实验2 生理盐水 5 0 0(30) 0
SarCNU 5 0 4(30) 1 4.2(14)
BCNU 5 0 0(30) 0 36.4(14)
实验3 生理盐水 7 0 0(40) 0
SarCNU 7 0 0(40) 7 0.5(19)
BCNU 7 4 0(40) 2 10.4(19)
VM26 7 0 0(40) 0 18.7(19)

注:DRD药物相关致死(只);TFA肿瘤消失鼠数(天);R肿瘤缩小;

t396-1.gif (3943 bytes)

图1 第1批皮下移植瘤生长曲线

t396-2.gif (3152 bytes)

图2 第3批试验鼠体重变化曲线

t396-3.gif (26180 bytes)
t396-3a.gif (11294 bytes)

图3 A.生理盐水组,瘤细胞增生极度活跃,呈密集排列,并见有灶性出血坏死及血管增殖。B.BCNU组,瘤细胞增生活跃,但胞体肿胀和间质疏松,细胞密度较A组下降。C.SarCNU组,瘤细胞增生程度明显下降,排列疏松,细胞退行性变和间质纤维大量增生,呈现组织硬化。HE×400

讨 论
无论皮下移植还是颅内接种组SarCNU在其最大耐受剂量MTD167mg/kg体重的情况下,表现出非常好的抗SHG-44胶质瘤细胞的活性,使得移植在裸小鼠皮下的多数肿瘤消失,少数肿瘤缩小,相比之下BCNU仅使少数肿瘤缩小,没有肿瘤消失。最近Marcantonio报告[4] ,仅需MTD的66%(111mg/kg体重)甚至44%(74mg/kg体重)SarCNU在体内试验仍发现极好的抗肿瘤活性,而BCNU在低剂量组基本上见不到抗肿瘤活性,此实验结果为我们进一步临床试验坚定了信心。
SarCNU的化学结构式为2-氯乙基-3-肌氨酸酰胺-1-亚硝脲,同属于BCNU等CENUs药,与之不同的是N3位点被甲基封闭,降解产物不能形成异氰化物,而形成氯乙基重氮氢化物和氨甲酸,前者烷化后作用于细胞的蛋白质、RNA和DNA,产生完全的细胞毒作用,后者构成肌氨酸酰胺基团,允许其通过神经元表面的儿茶酚胺摄取Ⅱ载体系统(Uptak2 )主动进入细胞内。因此,SarCNU的药代动力学模式与BCNU既相同,又不同。相同的是分子量小,脂溶性,易通过血脑屏障;不同的是,BCNU进入细胞内是依赖于浓度梯度的被动扩散,即药物在细胞外的浓度必须高于细胞内,而SarCNU在被动扩散的同时还存在着上述的主动转运机制,最终细胞内的浓度必然高于细胞外,这一点曾在SK-MG-1胶质瘤细胞体外培养实验中得到了证实[5-7] 。本实验所用的SHG-44细胞移植于裸小鼠的实体瘤中观察到了SarCNU的疗效明显优于BCNU,是否存在上述的Uptake2 载体这一点已在我们最近的研究中得到了证实。
CENUs因严重的延迟性骨髓毒和早期发生的胃肠道反应而在临床应用中受到了限制,SarCNU的毒副作用如何虽然尚未上临床难以定论,但根据既往的实验已经证明[8] :在粒细胞-巨噬细胞系中SarCNU的毒性仅为BCNU的1/7。本实验两者都在最大耐受剂量下从鼠的体重改变和药物相关致死(DRD),可看出SarCNU的副作用比BCNU明显轻,为我们下一步Ⅰ期临床研究奠定了基础。

参考文献
1 Panasci LC, Marcantonio D, Nǒe AJ. SarCNU (2-chloroethy1-3-Sarcosina-mide-1-nitrosourea): a novel analogue of chloroethylnitrosourea that is transported by the catecholamine uptake2 carrier, which mediates increased cytotoxicity. Cancer Chem Pharmacol, 1996,37:505-508.
2 黄强,徐庚达,马文雄,等.NC系裸小鼠的饲育与应用.上海实验动物科学,1987,7:153-155.
3 黄强,谈琪云,许期年,等.抗恶性胶质瘤药物筛选的方法研究.中华神经外科杂志,1990,6:276-279.
4 Marcantonio D, Panasci LC, Hollingshead MG, et al. 2-chloroethy1-3- sarcosinamide-1- nitrosourea, a novel chloroethylnitrosourea analogue with enhanced antitumor activity against human glioma xenografts. Cancer Res, 1997, 57:3895-3900.
5 Nö e AJ, Malapetsa A, Panasci LC. Altered cytotoxicity of (2-chloroethy1) -3-sarcosinamide-1- nitrosourea in human glioma cell lines SK-MG-1 and SKI-1 correlates with differential transport kinetics. Cancer Res, 1994, 54:1491-1496.
6 Nö e AJ, Malapetsa A, Panasci LC. Transport of (2-chloroethy1)-3- Sarcosinamide-1- nitrosourea in human glioma cell line SK-MG1 is mediated by an epinephrine sensitive carrier system. Mol Pharmacol, 1993, 44: 204-209.
7 Nö e AJ, Marcantonio D, Barton J, et al. Characterization of the cat-echolamine extraneuronal uptake2 carrier in human glioma cell lines SK-MG-1 and SKI-1 in relation to (2-chloroethy1) 3-sarcosinamide-1-nitrosourea (SarCNU) selective cytotoxicity. Biochem Pharmacol, 1996, 51:1639-1648.
8 Panasci LC, Dufour M, Chevalier L, et al. Utilization of the HTSCA and CFU-C assay to identify two new 2-chloroethylnitrosourea congeners of amino acid amides with increased in vitro activity against human gliomas compared with BCNU. Cancer Chem Pharmacol, 1985, 14:156-159.

(收稿:1998-10-13 修回:1999-03-15)

, 百拇医药