当前位置: 首页 > 期刊 > 《中华实验外科杂志》 > 1999年第1期
编号:10669803
5-氟脲嘧啶对兔靶动脉壁的影响
http://www.100md.com 《中华实验外科杂志》 1999年第1期
动脉|化疗|氟脲嘧啶|副作用,关键词:
5-氟脲嘧啶对兔靶动脉壁的影响
5-氟脲嘧啶对兔靶动脉壁的影响

     张闽光 朱纪吾 周建军 吴孟超 陈汉 200433 上海,第二军医大学东方肝胆医院(张闽光、吴孟超、陈汉);南通医学院附属医院(朱纪吾、周建军) 中华实验外科杂志 1999 0 16 1


    关键词:动脉;化疗;氟脲嘧啶;副作用 期刊 zhsywkzz 0 血管外科 fur -->


    

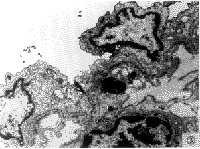
【摘要】 目的 探讨5-氟脲嘧啶(5-Fu)对靶动脉壁的影响并分析其原因及意义。方法 将实验用兔7只中5只行股动脉穿刺给5-Fu注射液,另2只经耳动脉给5-Fu。股动脉给药后7天作X线造影和光镜下病理检查,耳动脉给药后24小时作电镜病理检查。结果 5例股动脉造影中4例出现明显狭窄;光镜下表现为较明显内皮细胞脱落、破碎,内弹力膜断裂、不完整或内皮细胞增生明显、呈多层 ......


您现在查看是摘要页,全文长 6269 字符