当前位置: 首页 > 医疗版 > 疾病专题 > 内分泌科 > 下丘脑-垂体疾病 > 颅咽管瘤
编号:10669454
CT立体定向囊腔内放疗治疗囊性颅咽管瘤
http://www.100md.com 《中华神经外科杂志》 1998年第3期
CT立体定向|囊性颅咽管瘤|囊腔内放疗,关键词:
CT立体定向囊腔内放疗治疗囊性颅咽管瘤
CT立体定向囊腔内放疗治疗囊性颅咽管瘤

     朱凤清 李爱民 徐 峰 周幽心 王 中 李向东 王之敏 崔 岗 周 岱 215006 苏州医学院附一院神经外科 中华神经外科杂志 1998 0 14 3


    关键词:CT立体定向;囊性颅咽管瘤;囊腔内放疗 期刊 zhsjwkzz 0 立体定向与功能神经外科 fur -->


    

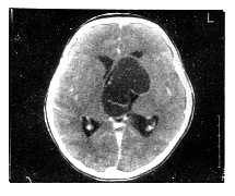
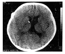
摘要 目的:研究治疗囊性颅咽管瘤最佳治疗方法。方法:对34例囊性颅咽管瘤进行CT立体定向囊腔内胶体磷酸铬内放疗。结果:全部病例经手术排除囊液后临床症状迅速改善,经囊腔内放疗后12~66个月随访,CT扫描显示28例(82.5%)瘤腔持续消失,3例(8.8%)瘤腔显著缩小,症状持续改善。3例(8.8%)分别于19、25、36个月后因瘤实质部分增大,症状恶化而相继死亡。无手术死亡率和严重并发症。结论:CT立体定向囊腔内放疗治疗囊性颅咽管瘤十分安全、有效,应作为治疗囊性颅咽管瘤首选的方法。

CT-guided stereotactic intracavitary irradiation for intracranial cystic craniopharyngioma Zhu Fengqing, Li Aimin, Xu Feng, et al, Department of Neurosurgery, The First Affiliated Hospital of Suzhou Medical College, Suzhou 215006

    
Abstract Objective: To investigate the value of sterotatic intracavitary irradiation for cystic craniopharyngiomas. Methods: Thirty-four patients with cystic craniopharyngiomas were treated with CT-guided stereotatic intracavitary irradiation with 32 P in a colloidal solution. Results: The clinical symptoms improved promptly after evacuations of cyst in all patients. No mortality or severe complications. Follow-up (ranged from 12 to 66 months) CT indicated the tumor cysts gradually regressed and disappeared in 28 cases (82.5%), decreased obviously in 3 cases (8.8%). However, other 3 patients died at the 19th, 25th and 36th month after operation because of the increasing solid parts of tumors. Conclusions: CT-guided stereotactic intracavitary irradiation for cystic craniopharyngioma is safe and effective, it should be the most appropriate initial surgical management.

    
Key words CT-guided sterotactic procedure Cystic craniopharyngioma Intracavitary irradiation

颅咽管瘤在成人颅内肿瘤中约占4% ......


您现在查看是摘要页,全文长 10390 字符