当前位置: 首页 > 期刊 > 《中华神经外科杂志》 > 1998年第4期
编号:10669408
P16蛋白在人脑髓母细胞瘤中的表达及意义
http://www.100md.com 《中华神经外科杂志》 1998年第4期
P16蛋白|髓母细胞瘤,关键词:
P16蛋白在人脑髓母细胞瘤中的表达及意义
P16蛋白在人脑髓母细胞瘤中的表达及意义

     刁宏宇 李少一 潘蔚然 陈铎 王成林 赵崇智 110003 沈阳,中国医科大学第二临床学院神经外科 中华神经外科杂志 1998 0 14 4


    关键词:P16蛋白;髓母细胞瘤 期刊 zhsjwkzz 0 论 著 fur -->


    

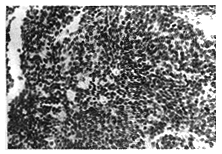
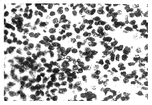
摘要 目的:研究P16蛋白与人脑髓母细胞瘤发病的关系。方法:应用SP免疫组化技术检测45例术中切除的肿瘤标本的石蜡切片。结果:P16蛋白在45例髓母细胞瘤中的表达缺失率为80%。而在10例正常脑组织中的表达率为100%。结论:P16蛋白的缺失与髓母细胞瘤的发生有密切关系,其中的具体机制有待于在今后的研究中阐明。

Expression and itssignificance of P16 protein in human medulloblastoma Diao Hongyu, Li Shaoyi, Pan Weiran, et al. Dept. of Neurosurgery, The Second Affiliated Hospital, China Medical University, Shenyang 110003

    
Abstract Objective: To study therelationship of P16 protein with the formation of human mudulloblastoma. Methods: P16protein were detected in 45 cases of mudulloblastoma by S-P immunohisto chemistric method.Results: Deletion rate of P16 protein in mudulloblastoma is 80%, while the positiveexpression rate is 100% in 10 cases of normal brain tissue. Conclusions: The deletion ofP16 protein may be have closely connection with the formation of medulloblastoma, butconcrete mechanism is still unclear.

    
Key words P16 protein Medulloblastoma

P16基因又称MTS1(multipletumor suppressor 1)或CD k4 Ⅰ (cdk4 inhibitor) ......


您现在查看是摘要页,全文长 8046 字符