当前位置: 首页 > 期刊 > 《中华内分泌代谢杂志》 > 1999年第3期
编号:10660701
甲状腺局部自身免疫在桥本甲状腺炎癌变中的作用
http://www.100md.com 《中华内分泌代谢杂志》 1999年第3期
自身免疫|桥本甲状腺炎|癌变|甲状腺癌|树突状细胞|HLA-DR抗原,关键词:
甲状腺局部自身免疫在桥本甲状腺炎癌变中的作用
甲状腺局部自身免疫在桥本甲状腺炎癌变中的作用

     张昶 郑立农 徐金鑫 223300 江苏省淮阴市第一人民医院 中华内分泌代谢杂志 1999 0 15 3


    关键词:自身免疫;桥本甲状腺炎;癌变;甲状腺癌;树突状细胞;HLA-DR抗原 期刊 zhnfmdxzz 0 论著 fur -->


    

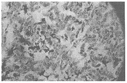
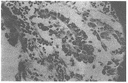
摘要 目的 探讨自身免疫因素在桥本甲状腺炎(HT)癌变中的作用。方法 用免疫组化ABC法对HT和HT癌变患者甲状腺内S-100蛋白阳性的树突状细胞(DC),以及呈HLA-DR抗原阳性表达的细胞进行观察研究。结果 HT及HT癌变患者甲状腺内发现DC,HT的淋巴细胞型和嗜酸细胞型DC数量较纤维型为多,HT癌变的癌变区存在大量DC,数量明显多于HT病变区和HT,DC胞浆突起插入甲状腺上皮细胞(TEC)和癌细胞之间并与之接触,TEC及癌细胞呈不同程度DR阳性表达。结论 甲状腺内DC的存在及DR抗原阳性的细胞是引起自身免疫反应的始发和重要因素,HT及HT合并甲状腺癌中的TEC及癌细胞均受自身免疫因素影响,HT时甲状腺局部存在的自身免疫因素在HT癌变中起着重要作用,抑制自身免疫反应可预防HT癌变。

Role of local autoimmune factors ofthyroid gland in malignant transformation of Hashimoto's thyroiditis

ZHANG Chang,ZHENG Linong,XU Jinxin.

     ......


您现在查看是摘要页,全文长 12286 字符