当前位置:
首页
>
医疗版
>
疾病专题
>
泌尿外科
>
输尿管
>
输尿管肿瘤
编号:
10648394
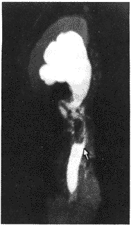
磁共振尿路成像在输尿管肿瘤诊断中的应用价值
http://www.100md.com
《中华泌尿外科杂志》
1999年第11期
张志宏 王守安 张志勇
张志宏 唐山工人医院泌尿外科 063000;王守安 磁共振室;张志勇 病理科
中华泌尿外科杂志
1999
0
20
11
关键词:
期刊
zhmnwkzz
0
简报
fur
-->
磁共振尿路成像(MRU)是检查上尿路的一种新方法 ......
百拇医药网
http://www.100md.com/html/DirDu/2005/07/06/64/84/39.htm
您现在查看是摘要页,
全文长 3750 字符
。