当前位置: 首页 > 期刊 > 《中华泌尿外科杂志》 > 1999年第11期
编号:10648387
HMB-45与肾血管平滑肌脂肪瘤
http://www.100md.com 《中华泌尿外科杂志》 1999年第11期
血管平滑肌脂肪瘤,肾|HMB-45,关键词:
HMB-45与肾血管平滑肌脂肪瘤

     顾民 眭元庚 徐正铨 吴宏飞 张炜 郑肇巽 顾民 眭元庚 徐正铨 吴宏飞 张炜 南京医科大学第一附属医院泌尿外科研究室210029;郑肇巽 病理科 中华泌尿外科杂志 1999 0 20 11


    关键词:血管平滑肌脂肪瘤,肾;HMB-45 期刊 zhmnwkzz 0 论著 fur -->


    

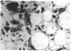
摘要 目的 探讨HMB-45与肾血管平滑肌脂肪瘤的相关性及诊断价值。方法 应用免疫组化技术对43例肾肿瘤进行了HMB-45及多种抗体的检测。结果 肾血管平滑肌脂肪瘤组织中HMB-45有良好表达,而其他肿瘤组织中均无HMB-45表达。结论 HMB-45的表达在肾血管平滑肌脂肪瘤的鉴别诊断中是一个有价值的指标。

HMB-45 reactivity andrenal angiomyolipoma

GU Min,XU Yuangeng,XU Zhengquan,etal

     ......


您现在查看是摘要页,全文长 7755 字符