当前位置:
首页
>
期刊
>
《中华内科杂志》
>
1998年第10期
编号:
10650820
扎伊尔附红细胞体病二例
http://www.100md.com
《中华内科杂志》
1998年第10期
王彦 徐和平 薛新平 李顺义
050000 石家庄,河北医科大学第二医院(王彦、薛新平、李顺义),第三医院检验科(徐和平)
中华内科杂志
1998
10
37
10
关键词:
期刊
zhnkzz
0
病例报告
fur
-->
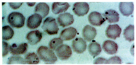
附红细胞体病是一种人兽(畜)共患性传染病 ......
百拇医药网
http://www.100md.com/html/DirDu/2005/07/06/65/00/82.htm
您现在查看是摘要页,
全文长 3149 字符
。