当前位置:
首页
>
期刊
>
《中华内科杂志》
>
1999年第12期
编号:
10650525
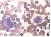
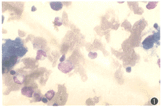
海蓝组织细胞增生症一家三例
http://www.100md.com
《中华内科杂志》
1999年第12期
蒋天祥 张碧霞 陈泽均 袁凤仪
蒋天祥 张碧霞 陈泽均(550009 贵阳,解放军第44医院检验科);袁凤仪(内一科)
中华内科杂志
1999
0
38
12
关键词:
期刊
zhnkzz
0
病例报告
fur
-->
患者男 ......
百拇医药网
http://www.100md.com/html/DirDu/2005/07/06/65/05/52.htm
您现在查看是摘要页,
全文长 3746 字符
。