当前位置: 首页 > 期刊 > 《中华骨科杂志》 > 1999年第3期
编号:10651476
骨巨细胞瘤中微血管密度与肿瘤分级和复发关系的初步报告
http://www.100md.com 《中华骨科杂志》 1999年第3期
骨巨细胞瘤中微血管密度与肿瘤分级和复发关系的初步报告
骨巨细胞瘤中微血管密度与肿瘤分级和复发关系的初步报告

庞健 刘仲前 徐钢 王占贵 庞健、刘仲前 610072 成都,四川省人民医院骨科,徐钢 病理科;王占贵 自贡市第四人民医院 中华骨科杂志 1999 0 19 3
关键词: 期刊 zhgkzz 0 短篇论著 fur -->

实体肿瘤的生长依赖于血管形成,新生微血管密度(MVD)与许多肿瘤的分级、浸润和转移有关。本文对47例骨巨细胞瘤(GCT)中新生MVD进行分析,并结合细胞增殖指标,探讨MVD与骨GCT的生物学行为、肿瘤病理分级、细胞增殖和复发的关系。

资料与方法

一、临床资料
收集资料完整的骨GCT47例,男22例,女25例。发病年龄16~65岁,平均36.4岁。肿瘤生长部位:股骨下端17例,胫骨上端13例,桡骨下端4例,骶骨、腓骨各3例,肱骨下段、椎体各2例,肋骨、尺骨、指骨各1例。治疗方法:局部刮除加植骨21例,局部刮除加骨水泥填充6例,瘤段切除15例,截肢或关节离断手术5例。肿瘤直径2~10cm,平均5cm。按Jaffe病理分级:Ⅰ级17例,Ⅱ级21例,Ⅲ级9例。平均随访时间5年,27例复发,复发率为57.4%。
二、免疫组织化学染色及结果判断
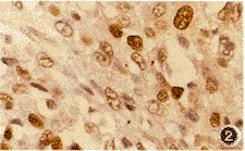
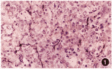
标本连续石蜡切片,分别做HE及免疫组化染色。第一抗体用第Ⅷ因子相关抗原(FⅧRAg)显示肿瘤新生血管,用增殖细胞核抗原(PCNA)反映瘤细胞增殖活性。将FⅧRAg染色阳性的单个内皮细胞或一簇内皮细胞作为一个微血管(图1),每张切片选2个血管密度最多的肿瘤区域,在高倍镜(200倍)下先后计数2次,其微血管数平均值即MVD值。PCNA阳性染色定位于细胞核内(图2),随机观察10个高倍视野(400倍),阳性细胞占所有计数细胞的百分比即PCNA增殖指数。同组间肿瘤MVD的比较采用t检验;肿瘤MVD和PCNA增殖指数的相关性采用直线相关分析。


图1 骨巨细胞瘤,第Ⅷ因子相关抗原免疫组化染色显示瘤组织内的新生微血管 SP法×200 图2 骨巨细胞瘤,PCNA阳性物质定位于肿瘤单核基质细胞核内 SP法×400

结果

一、MVD与Jaffe分级的关系
骨GCTⅠ级MVD的平均值是31.8±18.3,Ⅱ级是52.5±21.2,Ⅲ级是58.7±28.6。Ⅱ级和Ⅲ级的MVD都明显高于Ⅰ级,骨GCTⅠ级与Ⅱ级、Ⅲ级之间的MVD差异有显著性意义(t值分别为2.853和2.945,P<0.01),但Ⅱ级与Ⅲ级之间差异无显著性意义(t=1.8320.05)。
二、MVD与肿瘤大小的关系
根据X线片测量肿瘤的最大径线,肿瘤小于5cm者21例,肿瘤大于5cm者26例,其MVD均值分别为41.8±22.1和42.5±28.1,两组间MVD差异无显著性意义(t=1.776,P>0.05)。
三、MVD与肿瘤复发的关系
骨GCT复发组27例,无复发组20例,其MVD均值分别为50.2±24.3和39.7±22.1,复发组MVD高于无复发组,两组间差异有显著性意义(t=2.304,P<0.05)。
四、MVD与PCNA增殖指数的相关性
本组骨GCT的PCNA增殖指数在8%~92%,平均49.5%。骨GCT的MVD与PCNA增殖指数的相关性分析,其相关系数r=0.85,P<0.01,表明两者存在显著正相关。

讨论

研究表明,MVD与乳腺癌、肾癌、肺癌和卵巢癌等上皮性恶性肿瘤的生物学行为有关,但与间叶性肿瘤关系的报道较少。近来有人报道了骨肉瘤中MVD与预后的关系,其结果显示,肿瘤MVD低,骨肉瘤预后较好,反之,预后较差[1] 。骨GCT是一种潜在恶性或恶性的常见骨肿瘤,术后极易复发,其生物学行为复杂多变。本组研究结果显示,骨GCT的MVD与肿瘤的大小无关,但与Jaffe分级和肿瘤的复发有一定关系。骨GCTⅡ级和Ⅲ级的MVD均高于Ⅰ级,其差异有高度显著性,而Ⅱ级与Ⅲ级之间差异无显著性意义。此外,骨GCT的MVD与PCNA增殖指数呈密切正相关,这反映了骨GCT的增殖及分化与肿瘤新生血管生成能力的一致性,也表明骨GCT的MVD与Jaffe分级虽不完全平行一致,但Ⅰ级与Ⅱ、Ⅲ级之间有本质的区别,应将Ⅱ级、Ⅲ级骨GCT视为潜在恶性或恶性看待。
肿瘤的生长取决于新生血管的形成,肿瘤细胞分泌释放一种肿瘤血管生成因子(TAF),TAF刺激血管内皮细胞进行有丝分裂,诱导内皮细胞迁移,促进毛细血管新生[2,3] 。肿瘤微血管可加速肿瘤细胞增殖并使肿瘤细胞可侵袭的血管区面积增加,由于肿瘤微血管壁基底膜不完整,通透性大,因而肿瘤细胞易侵入血管内,发生转移[4] 。实验表明[2] ,在无新生血管的条件下,恶性肿瘤细胞很少侵入血管。肿瘤微血管密度高或面积大,不仅有利于肿瘤细胞增殖,而且为瘤细胞侵入新生血管提供了较大的接触面积,有利于肿瘤的浸润和转移。另外,新生毛细血管在生成过程中,血管内皮细胞要产生多种基质降解酶,如Ⅳ型胶原酶和纤溶酶原激活物等,后者可破坏基质屏障,促进肿瘤细胞转移[5] 。因此,肿瘤MVD与肿瘤分化程度、转移及预后有重要关系。本组结果表明,骨GCT复发组的MVD高于未复发组,提示肿瘤MVD可能是预测骨GCT复发的一项重要的参考指标。若同时结合PCNA增殖指数进行判断,能更好地估计病人的预后,指导临床治疗。另外,肿瘤MVD的改变,为抗新生血管治疗和抗血管生成治疗肿瘤提供依据[6] ,并可望将肿瘤中增生的新生血管作为靶目标进行针对性治疗,从而为骨GCT的综合治疗提供新思路。

参考文献

1 王东,陈俐,高奉浔.骨肉瘤中微血管密度与预后的研究.中华病理学杂志,1997,26:266-269.
2 Weidner N. Intratumor microvessel density as a prognostic factor in cancer. Am JPathol,1995,147:9-19.
3 Klagsbrun M,D-Amore PA. Regulators of angiogenesis. Annu Rev Physiol,1991,53:217-239.
4 Weidner N, Semple JP, Welch WR, et al. Tumor angiogenesis and metastasiscorrelation in invasive breast carcinoma. N Engl J Med,1991,324:1-8.
5 Folkman J, Watson K, Ingber D, et al. Induction of angiogenesis during the transitionfrom hyperplasia to neoplasia. Nature,1989,339:58-61.
6 钱朝南,闵华庆.抗血管生成治疗实体瘤的应用前景.国外医学肿瘤学分册,1997,24:341-344.

(收稿:1998-04-13修回:1999-01-04) , 百拇医药