当前位置: 首页 > 期刊 > 《中华神经科杂志》 > 1998年第5期
编号:10654996
重症肌无力患者神经肌肉接头处的超微结构研究
http://www.100md.com 《中华神经科杂志》 1998年第5期
重症肌无力||神经肌肉接头||突触||免疫组织化学,关键词:
重症肌无力患者神经肌肉接头处的超微结构研究
重症肌无力患者神经肌肉接头处的超微结构研究

     宋东林 石进 刘翠兰 张宏 吕强 陈晋文 李恭 100036 北京空军总医院神经内科(宋东林、石进、刘翠兰、张宏、吕强、陈晋文);吉林医学院附属医院神经内科(李恭) 中华神经科杂志 1998 0 31 5


    关键词:重症肌无力;;神经肌肉接头;;突触;;免疫组织化学 期刊 zhsjkzz 0 论著 fur -->


    

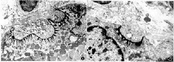
摘要 目的 探讨重症肌无力(MG)时神经肌肉接头(NMJ)突触后、前膜的变化及其意义。方法 肋间内肌在辣根过氧化酶标记的α-银环蛇毒素(HRP-α-BuTx)标记后,用图形扫描及医学图像分析软件测量电镜照片中NMJ的各项指标,并与对照组比较分析。结果 MG时突触后膜长度缩短,后、前膜长度比值变小,神经末端面积及其与突触后膜面积之比变小,突触后膜上的乙酰胆碱受体(AChR)减少了35.9%。结论 MG时NMJ的变化主要存在于突触后膜。突触后、前膜长度之比对本病的诊断更有临床意义。

Ultrastructural study on theneuromuscular junction of patients with myasthenia gravis Song Donglin, ShiJin, Liu Cuilan,et al. Department of Neurology, Air Force General Hospital, Beijing 100036

    


     ......


您现在查看是摘要页,全文长 11022 字符