当前位置:
首页
>
期刊
>
《中华结核和呼吸杂志》
>
1999年第3期
编号:
10655930
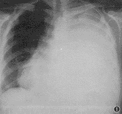
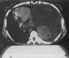
第32例——左胸大片片状阴影一例
http://www.100md.com
《中华结核和呼吸感染》
1999年第3期
杨新法 金波
200030 上海市胸科医院肺内科
中华结核和呼吸感染
1999
0
22
3
关键词:
期刊
zhjhhhxgr
0
读片园地
fur
-->
患者女性 ......
百拇医药网
http://www.100md.com/html/DirDu/2005/07/06/65/50/93.htm
您现在查看是摘要页,
全文长 3459 字符
。