当前位置: 首页 > 期刊 > 《中华结核和呼吸杂志》 > 1999年第12期
编号:10655638
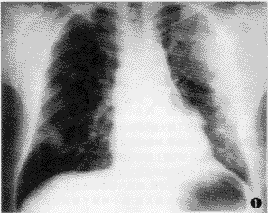
第38例——左肺大片融合阴影、右肺多发类圆形结节影
http://www.100md.com 《中华结核和呼吸感染》 1999年第12期
第38例——左肺大片融合阴影、右肺多发类圆形结节影
第38例——左肺大片融合阴影、右肺多发类圆形结节影

     陈晓红 526021 广东省肇庆市第一人民医院呼吸科 中华结核和呼吸感染 1999 0 22 12


    关键词: 期刊 zhjhhhxgr 0 读片原地 fur -->


    

患者男性 ......


您现在查看是摘要页,全文长 2548 字符