当前位置: 首页 > 期刊 > 《中华结核和呼吸杂志》 > 1998年第5期
编号:10656249
早期肠结核的病理变化
http://www.100md.com 《中华结核和呼吸感染》 1998年第5期
结核|结核,胃肠|病理学,关键词:
早期肠结核的病理变化
早期肠结核的病理变化

     宋卫生 郭琳琅 杨冬华 余建林 李立平 510282 广州,第一军医大学珠江医院消化科(宋卫生、杨冬华、余建林、李立平),病理科(郭琳琅) 中华结核和呼吸感染 1998 0 0 5


    关键词:结核;结核,胃肠;病理学 期刊 zhjhhhxgr 0 论著 fur -->


    

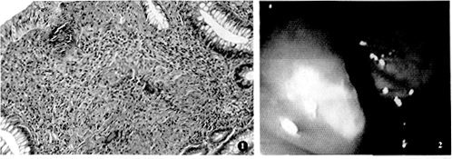
摘要 目的 探讨早期肠结核的病理变化。方法 对结肠镜诊断的3 例早期肠结核进行分析。结果 早期肠结核的病理特征是:回盲部粘膜充血、水肿或( ) 糜烂;纤维素样渗出及霜样白苔,回盲瓣红肿变形;无溃疡和息肉样增生;光镜下见粘膜层内结核结节,无溃疡和肉芽、纤维组织增生。结论 认识早期肠结核的病理变化,对促进早期肠结核的诊断和完善肠结核的病理分型具有重要意义。

Pathologicalchanges of early intestinal tuberculosis

Song Weisheng , Guo Linlang, Yang Donghua, et al. Department of Gastroenterology, Zhujiang Hospital, FirstMilitary Medical University, Guangzhou 510282

Abstract Objective To probe into the characteristics of pathological changes of earlyintestinal tuberculosis. Method Three cases of early intestinal tuberculosis proved by colonoscopywere reported and analyzed. Result Hyperemia and edema of the ileocecal mucosa were found. Theinvolved mucosa looked friable and eroded, which was covered by fibrinopurulent exudatesor forsty white mucus. The ileocecal valve was edematous and deformed. Tuberculoustubercles were found in intramucosal tissue under microscopy. Neither ulceration norfiberous hypertrophy was found. Conclusion It shows important significance to recognize the pathologicalmanifestations of early intestinal tuberculosis for diagnosis of the disease.

    
Key words Tuberculosis Tuberculosis, gastrointestinal Pathology

早期肠结核诊断非常困难 ......


您现在查看是摘要页,全文长 12043 字符