当前位置: 首页 > 期刊 > 《中国临床解剖学杂志》 > 1999年第4期
编号:10660363
嗅凹的影像解剖学研究
http://www.100md.com 《中国临床解剖学杂志》 1999年第4期
筛顶板|筛板|嗅凹,关键词:
嗅凹的影像解剖学研究
嗅凹的影像解剖学研究

     廖建春 王海青 范静平 吴建 郎军添 陈菊祥 吕春雷 叶青 彭玉成 赵舒微 20003 上海市 第二军医大学附属长征医院耳鼻咽喉科 中国临床解剖学杂志 1999 0 17 4


    关键词:筛顶板;筛板;嗅凹 期刊 zglcjpxzz 0 影像断层解剖学研究 fur -->


    

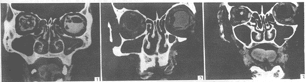
【摘要】目的:为临床开展前颅底外科提供嗅凹必要的影像解剖学资料。方法:取50具成人头颅标本,行鼻窦冠状位薄层CT扫描,重点观测筛顶与筛板的移行情况。结果:观测到筛顶与筛板的移行形式有二种类型:一种是直接斜向筛板;一种是先形成一平台段,在近筛板时徒然下降,形成嗅凹。本组资料中筛顶板与筛板平移的占46%;而形成嗅凹的占54%。在形成嗅凹的资料中,前筛顶板与筛板之间形成的高度差的平均值为8.8mm,后筛顶板筛板之间形成的高度差的平均值为2.8mm,前后嗅凹深度之间经t检验相差非常显著(P<0.01)。结论:了解嗅凹的形成对减少前颅底外科手术及内窥镜鼻窦手术并发症的发生具有十分重要的意义。

Imaging anatomy study of the olfactory fovea

Liao Jianchun,Wang Haiqing,Fan Jingping,et al.

     ......


您现在查看是摘要页,全文长 7475 字符