当前位置: 首页 > 期刊 > 《中国神经精神疾病杂志》 > 1999年第3期
编号:10646489
视交叉-下丘脑胶质瘤的诊断与治疗
http://www.100md.com 《中国神经精神疾病杂志》 1999年第3期
视交叉-下丘脑胶质瘤|诊断|治疗|,关键词:
视交叉-下丘脑胶质瘤的诊断与治疗

     王 晨 周良辅 华山医院神经外科(200040) 中国神经精神疾病杂志 1999 0 0 3


    关键词:视交叉-下丘脑胶质瘤;诊断;治疗; 期刊 zgsjjsjbzz 0 论著与学术交流 fur -->


    

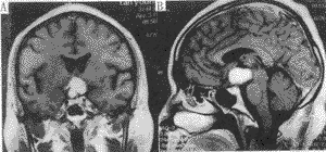
【摘要】 目的 探讨视交叉-下丘脑胶质瘤的近代诊治。方法 回顾性分析1983~1997年28例视交叉-下丘脑胶质瘤的临床表现,手术方法和疗效。结果 本组以头痛、视力障碍和内分泌改变为主要临床表现。MRI是主要的诊断方法。根据肿瘤主体部位选择手术入路。肿瘤全切除、次全切除和部分切除分别为8、12、8例。术后症状好转16例,7例出现下丘脑相关的症状群。严重下丘脑反应4例在术后1周内死亡。16例随访5个月至10年,平均3.5年,5例在2年内死亡,11例Karnofsky评分为50~60分。结论 视交叉-下丘脑胶质瘤的恶性程度与年龄有关。手术可切除肿瘤,明确诊断,恢复脑脊液循环。但是不强求全切,保存功能和减少对周围组织的损伤,是减少手术后并发症的关键,结合放疗和化疗,可使患者长期生存。

    Diagnosis and treatment of optic chiasmatic-hypothalamic glioma. WangChen, Zhou Liangfu, Department of Neurosurgery, Huashan Hospital, 12 Wulumuqi ZhongRoad, Shanghai. 200040. Tel:021-62499412

    【Abstracts】Objective To investigate the status of diagnosisand treatment of optic chiasmatic-hypothalamic glioma (OCHG). Methods Aretrospective review of 28 cases with OCHG surgically treated between 1983-1997 wasconducted, focusing on their clinical features, surgical approaches and outcomes.Results Headache,vision disturbance and endocrine changes were main complaints.MRI was major diagnosticmodality. Unilateral subforntal, subfrontal trans-lamina terminalis and pterionalapproaches were applied for the tumors with main lesions in optic chiasma, transcallosaland transventricle approaches for main lesions in the third ventricle. Total, subtotal andpartial removal of tumors were achieved in 8, 12, 8 cases respectively. Symptoms and signswere improved in 16 cases. Seven cases showed hypothalamic-related signs. Four cases diedfrom severe hypothalamic reactions within one week after operations. Sixteen cases werefollowed up from 5 months to 10 years. Five cases died in two years after surgeries.Karnofsky scales of 11 patients were 50-60. Conclusions Malignany ofOCHG is related with age. Surgery is necessary for definire diagnosis and reestablishmentof CSF pathway, for the resection of exophytic and suprasellar tumors or the lesions inthe third ventricle. It is important for decreased complications to perform no intentionalradical surgery and lessen damage of surrounding tissues. The patients who got safeoperations and chemotherapy or radiotherapy will have longer time survival.

     ......


您现在查看是摘要页,全文长 9924 字符