当前位置: 首页 > 期刊 > 《中国超声医学杂志》 > 2000年第8期
编号:10647520
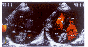
体表超声监测经皮穿刺闭合继发孔房间隔缺损2例
http://www.100md.com 《中国超声医学杂志》 2000年第8期
体表超声监测经皮穿刺闭合继发孔房间隔缺损2例

     侯传举 曾慧茹 邓东安 孙培明 韩秀敏 盛晓棠 朱鲜阳 张玉威 侯传举 曾慧茹 邓东安 韩秀敏 盛晓棠 朱鲜阳 张玉威(110015 沈阳军区总医院);孙培明(吉林省临江林业医院) 中国超声医学杂志 2000 0 16 8


    关键词: 期刊 zgcsyxzz 0 637-638 病例报告 fur -->


    

经皮穿刺继发孔房间隔缺损闭合术要求采用食道超声进行监测 ......


您现在查看是摘要页,全文长 4480 字符