当前位置: 首页 > 期刊 > 《中国超声医学杂志》 > 2000年第7期
编号:10647546
超声介入注射无水酒精治疗肝癌的量化研究
http://www.100md.com 《中国超声医学杂志》 2000年第7期
超声引导|无水酒精|肝癌|量化,关键词:
超声介入注射无水酒精治疗肝癌的量化研究
超声介入注射无水酒精治疗肝癌的量化研究

     林礼务 叶真 薛恩生 高上达 何以敉 350001 福州市, 福建医科大学附属协和医院超声科 中国超声医学杂志 2000 0 16 7


    关键词:超声引导;无水酒精;肝癌;量化 期刊 zgcsyxzz 0 514-516 临床研究 fur -->


    

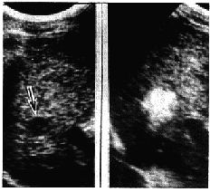
摘 要 目的:探讨超声介入注射无水酒精治疗肝癌的量化方法。方法:对86例162个复发性肝癌结节在超声引导下行无水酒精注射治疗(PEI),计算①酒精注射量与弥散范围最大径的相关系数;②肿块大小与酒精注射量的回归方程。结果:酒精注射量与弥散范围呈非常显著正相关(r=0.884,P=0.000), 肿瘤结节大小与酒精注射量的回归方程为:当肿瘤直径≤5cm时为Y=2.885X,当肿瘤直径>5cm时, 其回归方程为Y=1.805X(式中X为肿瘤最大径cm, Y为酒精注射量ml)。结论:通过酒精注射量与弥散范围的相关关系研究导出的肿瘤结节直径与酒精注射量的回归方程经临床应用与随访观察,具有肯定的疗效, 可作为行PEI时酒精注射量的计算方法。

A Study of Percutaneous HepaticQuantified Ethanol Injection in Treatment of Hepatocarcinoma

Lin Liwu, Ye Zhen, Xue Ensheng, et al

    (Union Hospital of Fujian Medical University, Fuzhou 350001 China)

ABSTRACT Objective:To probe the methodof percutaneous ethanol injection(PEI) in treatment of hepatocarcinoma. Methods:Onehundred sixty two recurrent hepatocarcinoma in 86 patients were treated by ultrasoundguided PEI. The interrelated coefficient of the quantity of alcohol injected into themasses and the diameters of spreading areaes of the alcohol on the screen were measured.Also the regressie equation of the diameters of the mass and the quantity of alcohol wascalculated. Results:The quantity of alcohol and the alcohol spreading area is markedlypositive interrelated (r=0.884, P=0.000). The regressive equation of the diameter of themass and the quantity of alcohol is Y=2.885X when the diameter of the mass is≤5cm, andY=1.805X when the mass is>5cm (X is the mass diameter, Y is the alcohol quantity. Theunit is ml). Conclusion:Hepatocarcinoma is cured by PEI with the quantified alcoholcalculated by the regressive equation of the diameter of the mass and the quantifiedalcohol inferred from the interrelationship between the quantity of alcohol and thediameter of spreading area of the alcohol.

     ......


您现在查看是摘要页,全文长 12228 字符