当前位置:
编号:10689747
搭桥加介入治愈儿童巨型颅内动脉瘤
http://www.100md.com 2005年7月21日 《中国医学论坛报》 2005年第27期
搭桥加介入治愈儿童巨型颅内动脉瘤//
搭桥加介入治愈儿童巨型颅内动脉瘤//

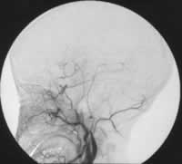
     近日,重庆第三军医大学西南医院神经外科采用颅内外动脉搭桥术结合血管内介入栓塞术成功治愈1例颈内动脉海绵窦段巨型梭形动脉瘤。该患者年仅10岁,经检查发现其动脉瘤直径超过4 cm,且合并基底动脉闭塞,颅内血供仅靠双侧颈内动脉维持。经过认真讨论后,专家们利用截取的患者自体桡动脉,成功地将颞浅动脉与大脑中动脉搭桥连接。1周后,脑血管造影显示患者颅内外血管通畅,专家遂实施介入手术,对患侧颈内动脉进行血管内栓塞。患者术后恢复良好,生命体征平稳,已康复出院。, http://www.100md.com