当前位置:
编号:10715549
反复上腹不适、双侧肾上腺占位
http://www.100md.com 2005年9月1日 《中国医学论坛报》 2005年第33期
反复上腹不适、双侧肾上腺占位
反复上腹不适、双侧肾上腺占位

     病历摘要

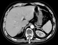
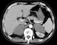
    患者,男性,51岁。因反复上腹不适8年,发现双侧肾上腺占位性病变24天,于2003年10月入院。

    患者于8年前无明显诱因出现上腹部不适,饱胀、嗳气,在当地医院做胃镜示“慢性浅表性胃炎”,对症治疗2~3个月后症状缓解而自行停止治疗;此后偶有上腹部不适,但皆未在意。入院前24天病人又出现上腹部饱胀不适,且较以往加重,在当地医院做腹部CT示“双侧肾上腺占位,转移瘤可能”。生化检查癌胚抗原(CEA)、甲胎蛋白(AFP)、肝功能等指标均正常。为进一步明确诊断而转入我院。追问病史,病人自发病以来无头晕、头痛,无血压升高、面色苍白、大汗淋漓、心悸等,无软瘫及肢体乏力,无呕吐腹泻,无体重减轻。患者平素体健,已戒烟酒8年。其父因肺癌去世。

    入院查体 体温、脉搏、呼吸均正常,血压130/80 mmHg,一般情况良好,神志清,全身皮肤和黏膜无黄染、紫纹,无色素沉着和出血点。浅表淋巴结未触及肿大,甲状腺不肿大。两肺呼吸音清晰,未闻及干湿罗音。心率84次/分,律齐。腹平软,肝脾肋下未及,全腹无压痛和反跳痛,肠鸣音正常,双肾区叩击痛(-)。双下肢无水肿,神经反射正常。

    实验室检查 血尿粪常规正常,肝肾功能和血脂、血电解质及24h尿电解质均正常。网织红细胞计数1.3%(正常值0.5%~1.5%,下同),血沉12.0 mm/h(0~15 mm/h);乳酸脱氢酶746 IU/L(91~192 IU/L); 血β2-微球蛋白(MG)3.4 ng/ml(1.4~3.4 ng/ml),尿β2-MG 160 ng/ml (<150 ng/ml);糖类抗原CA125、CA199正常;CEA、AFP、甲状腺功能均正常;血浆肾素活性(PRA)、血管紧张素II、血醛固酮、24h尿醛固酮、尿肾上腺素、去甲肾上腺素、多巴胺均正常;血皮质醇(F)8 am 16.3 μg/dl,4 pm 4.8 μg/dl,12 pm 5.7 μg/dl;二次尿F分别是:48 μg /24h和62 μg /24h(20~90μg /24h);二次血促肾上腺皮质激素(ACTH)均正常 ......

您现在查看是摘要页,全文长 7393 字符