同种瓣体外再内皮化的实验研究
http://www.100md.com
刘建林. 吴扬. 李兆志. 任沪平.
参见附件(208kb)。
作者:刘建林 吴扬 李兆志 任沪平
单位:(西安医科大学第一附属医院心血管外科 西安 710061)
关键词:同种瓣;内皮化;内皮细胞种植
西安医科大学学报000219 摘要 目的 为制备具有完整结构、低抗原性的同种瓣(HV)作准备。方法 48个新鲜HV随机分为3组,I组为人脐静脉内皮细胞(HUVEC)培养组;Ⅱ组为1%脱氧胆酸(DOA)处理组;Ⅲ组为2.5%戊二醛处理组,各组分别于1、3、7、10d观测内皮细胞(EC)生长被覆情况。检测项目:①台盼蓝染色活细胞计数。②3H-TdR掺入量。③EC超微结构及HV表面形态变化。结果 Ⅱ组可见EC附着生长,其细胞数量及3H-TdR掺入量显著小于Ⅰ组(P<0.05),被覆EC结构完整,与其下成纤维细胞有紧密联系。Ⅲ组未见EC生长。结论 ①1% DOA去内皮方法较好。②HUVEC在DOA去内皮HV有一定的生长趋势。③HUVEC在戊二醛处理HV上不能生长。
中图分类号 R654.2 文献标识码 A 文章编号 0258-0659(2000)02-0141-03
Experimental study of in vitro endothelialization of human homograft valve
Liu Jianlin Wu Yang Li Zhaozhi
Departmetn of Cardiovascular Surgery, First Affiliated Hospital, Xi′an Medical University, Xi′an 710061,China)
ABSTRACT Objective To be perparatory to work out a new kind of homograft valve (HV) having low antigenicity and intact morphogeny.Methods 48 fresh HV leaflets were divided into 3 groups randomly:the leaflets of group Ⅱ were treated by 1% DOA,group Ⅲ by 2.5% glutaralehyde.Derived HUVECS in concentration of 4~5×105/ml were seeded on the leaflets of 2 groups.Separate cultures of HUVEC were group I.The evalution were undertaken in 1,3,7 and 10 d by the following riteria:①Trypanblau dye to count living cells.②3H-TdR incorporation;③TEM and SEM observation of the ultramicroscopic structure of cells and superficial presence on the leaflets of group Ⅱ、Ⅲ.Results ①EC covering could be seen in group Ⅱ and to content with fibroblast but in both cells counting and 3 H-TdR incorporation ,group Ⅰ was higher than group Ⅱ with significant difference (P<0.05).In group Ⅲ, no EC was found.Conclusion ①1% DOA might provide a good method of deendothelialization;②HUVEC has a certain trend of growth on the DOA-treated HV leaflets;③It can not reendothelialize the HV leaflets treated by 2.5% glutaraldehyde successfully.
KEY WORDS homograft valve endothelialization EC seeding
本研究应用培养的人脐静脉内皮细胞(Human umbilical vein endothelial cell, HUVEC)对同种瓣(Homograft valve, HV)瓣叶进行种植,旨在观察内皮细胞(Endothelial cell ,EC)在HV瓣叶支架上的生长状况,为制备具有完整结构的低抗原性的新型HV作准备。
1 材料与方法
1.1 HUVEC悬液的制备 HUVEC制备方法参照杨映波方法[1]。EC收集后,用0.4%台盼蓝染色计数,加入适量完全培养液,调细胞浓度至4×105~5×105/ml,37℃放置,1h内应用。
1.2 HV取材分组 于1997年10月~1998年6月,选择48例健康成人脑死亡者,年龄20~30岁,平均27岁,于死亡30min内在无菌条件下取出心脏,4℃生理盐水冲净,24h内修剪,并随机分成3组,置入RPMI1640培养液中,48h应用。Ⅱ组为HUVEC+1%脱氧胆酸(Desoxycholic acid,DOA)去内皮瓣叶共同培养组。取制备好的圆形瓣叶16个,置入1% DOA 液中,37℃ 水浴30 min,然后在PBS液中漂洗3次,每次10min,置入24孔培养板内各孔,铺平,随机分为4个亚组(Ⅱ1,3,7,10),再将HUVEC悬液种植于各孔内, 每孔1ml,加入完全培养液1ml,共同培养。Ⅲ组为HUVEC+2.5%戊二醛处理瓣叶共同培养组。取HV瓣叶16个,置入2.5%戊二醛液中,4℃ 2h,余步骤同Ⅱ组。Ⅰ组为单纯HUVEC培养组,作对照。各组SABC第Ⅷ因子相关抗原免疫荧光染色,证实细胞为EC。
1.3 培养检测方法 将各组培养板置入37℃,体积分数为0.05 CO2培养箱内,第一天换液一半,以后每两天换液一半,培养结束前24h,每孔内加入3H-TdR 5μCi。分别于第1、3、7、10天,用质量分数为0.25胰蛋白酶消化ECS,并行光镜下细胞计数。3H-TdR掺入量测定及瓣叶组织扫描及透射电镜观察。3H-TdR掺入量测定:EC悬液过滤于49型玻璃纤维滤膜上,滴加0.5mg/L ACCL3液固定细胞,无水乙醇脱水脱色,滤膜80℃烘干,置入闪烁液平衡24h,在液闪计数器上计数1min脉冲数(cpm)。
1.4 统计学方法 结果以均数±标准差(
±s)表示。细胞计数及3H-TdR掺入量脉冲行各组间均数两两比较的t检验,P<0.05差异有显著意义。
2 结 果
2.1 台盼蓝活细胞计数及3H-TdR掺入量 见表1、2。
表1 台盼蓝染色活细胞计数(104/ml) 组别
培养时间(d)
1
3
7
10
Ⅰ
1.875±0.144
3.813±0.125
8.188±0.239
10.375±0.323
Ⅱ
1.063±0.314*
2.688±0.239*
5.563±0.125*
7.438±0.115*
Ⅲ
0.323±0.375*#
0*#
0*#
0*#
与I组比较P<0.05,#与Ⅱ组比较P<0.05表2 3H-TdR掺入量(min-1) 组别
培养时间(d)
1
3
7
10
Ⅰ
138.25±28.96
1279.00±131.35
191.25±56.66
68.50±13.03
Ⅱ
115.75±32.40*
311.50±34.72*
815.00±52.33*
41.75±18.70*
Ⅲ
22.60±9.82*#
13.45±5.53*#
76.80±8.36*#
10.55±6.75*#
与Ⅰ组比较P<0.05,#与Ⅱ组比较P<0.05
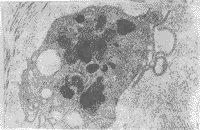
图1 局部EC附着生长,细胞形态不一 ×1 000
图2 EC结构完整,核质清晰,其下纤维细胞形态规整 ×6 000
图3 胶原纤维暴露、紊乱,无EC生长 ×1 000
2.2 扫描及透射电镜检查结果 Ⅱ组见EC附着生长,细胞形态不一,其下基膜组织表面完整光滑。EC结构基本完整,核质清晰,其下可见基膜组织层次清晰,纤维细胞形态规整,胞膜核膜完整,核染质分布正常。胶原纤维排列整齐,明暗带清晰(图1,2)。
Ⅲ组瓣叶表面纤维组织暴露,无EC附着,表面粗糙、紊乱,局部有断裂、缺失现象。未发现结构完整的细胞(图3,4)。
2.3 光学显微镜检查结果 Ⅱ组于培养第3天,可见局部EC生长呈单层,其下基膜组织结构完整、清晰,纤维组织层次清楚,结构完整致密,第7天可见瓣叶表面形成EC层,但至第10天,局部EC层有脱落现象。
图4 纤维细胞内空泡形成,核碎裂 ×10 000 Ⅲ组未见细胞附着、生长,其下纤维结构基本保持,但表面基底膜缺失。
3 讨 论
EC作为血液与瓣叶纤维组织间的一种重要的天然屏障,其所具有的多种生物活性对于保持移植瓣叶的活性,降低远期衰败率及提高瓣叶耐久性等方面具有重要的意义,但现在最常见的HV液氮冷冻保存方法在处理过程中,伴有大量EC的脱失[2,3]。为了解决HV的远期衰败问题,近年来的研究主要致力于体外内皮化的方法,即用受体EC对供体HV纤维支架进行EC的种植或铺植,以期获得理想的新型HV[4]。
本实验采用培养的HUVEC种植于HV瓣叶组织上并共同培养,初步探索用人静脉EC对HV行内皮化的方法效果及影响因素,观察培养HUVEC在HV组织上的生长情况,为制备“理想的”新型HV作初步准备。结果显示,用DOA处理HV组织,可获得一种活性的基膜完整的瓣叶纤维支架,以利于EC粘附生长。
戊二醛处理之非活性支架与活性支架比较,反映了活性的结构完整的瓣叶支架,对内皮粘附和生长的重要性。HUVEC在活性纤维支架上有一定的生长趋势,1周内可形成ECs单层,但10d已有部分EC层脱失。因此,如何保持培养EC的长期附着与生长仍是需要解决的问题。研究还发现HUVEC在戊二醛处理的HV上不能附着生长,分析其原因,可能与戊二醛的毒性作用抑制粘附生长及戊二醛对成纤维细胞代谢的毒性抑制作用使其不能为培养EC产生营养支持作用,而这正是EC生长的依赖因素之一。
如何进一步提高EC与受体HV附着的牢固程度,使内皮化后的HV能够承受体内不同方向血流的冲击而ECs不脱落,尚需进一步研究。
参考文献
1,杨映波,王正国,朱佩芳.肿瘤坏死因子对培养内皮细胞的损伤作用—循环内皮细胞初探[J].中国循环杂志,1993;8(6)∶353
2,张 传,郭加强,刘迎龙等.同种带瓣血管移植后免疫反应的研究[J].中国循环杂志,1996;11(10)∶603
3,Lupinetti FM, Tsai TT, Kneebone JM et al.Effect of cryopreservation on the presence of endothelial cells on human valve allografts[J].J Thorac Cardiovasc Surg,1993;106(5)∶912
4,Bengtsson L,Radegramk, Kagerstrand A.In vito endothelialixation of commercial available heart valve bioprosthesis with cultured human cells[J].Eur J Vasc Surg 1994;7(2)∶393
(1999-08-10收稿 1999-09-06修回)
作者:刘建林 吴扬 李兆志 任沪平
单位:(西安医科大学第一附属医院心血管外科 西安 710061)
关键词:同种瓣;内皮化;内皮细胞种植
西安医科大学学报000219 摘要 目的 为制备具有完整结构、低抗原性的同种瓣(HV)作准备。方法 48个新鲜HV随机分为3组,I组为人脐静脉内皮细胞(HUVEC)培养组;Ⅱ组为1%脱氧胆酸(DOA)处理组;Ⅲ组为2.5%戊二醛处理组,各组分别于1、3、7、10d观测内皮细胞(EC)生长被覆情况。检测项目:①台盼蓝染色活细胞计数。②3H-TdR掺入量。③EC超微结构及HV表面形态变化。结果 Ⅱ组可见EC附着生长,其细胞数量及3H-TdR掺入量显著小于Ⅰ组(P<0.05),被覆EC结构完整,与其下成纤维细胞有紧密联系。Ⅲ组未见EC生长。结论 ①1% DOA去内皮方法较好。②HUVEC在DOA去内皮HV有一定的生长趋势。③HUVEC在戊二醛处理HV上不能生长。
中图分类号 R654.2 文献标识码 A 文章编号 0258-0659(2000)02-0141-03
Experimental study of in vitro endothelialization of human homograft valve
Liu Jianlin Wu Yang Li Zhaozhi
Departmetn of Cardiovascular Surgery, First Affiliated Hospital, Xi′an Medical University, Xi′an 710061,China)
ABSTRACT Objective To be perparatory to work out a new kind of homograft valve (HV) having low antigenicity and intact morphogeny.Methods 48 fresh HV leaflets were divided into 3 groups randomly:the leaflets of group Ⅱ were treated by 1% DOA,group Ⅲ by 2.5% glutaralehyde.Derived HUVECS in concentration of 4~5×105/ml were seeded on the leaflets of 2 groups.Separate cultures of HUVEC were group I.The evalution were undertaken in 1,3,7 and 10 d by the following riteria:①Trypanblau dye to count living cells.②3H-TdR incorporation;③TEM and SEM observation of the ultramicroscopic structure of cells and superficial presence on the leaflets of group Ⅱ、Ⅲ.Results ①EC covering could be seen in group Ⅱ and to content with fibroblast but in both cells counting and 3 H-TdR incorporation ,group Ⅰ was higher than group Ⅱ with significant difference (P<0.05).In group Ⅲ, no EC was found.Conclusion ①1% DOA might provide a good method of deendothelialization;②HUVEC has a certain trend of growth on the DOA-treated HV leaflets;③It can not reendothelialize the HV leaflets treated by 2.5% glutaraldehyde successfully.
KEY WORDS homograft valve endothelialization EC seeding
本研究应用培养的人脐静脉内皮细胞(Human umbilical vein endothelial cell, HUVEC)对同种瓣(Homograft valve, HV)瓣叶进行种植,旨在观察内皮细胞(Endothelial cell ,EC)在HV瓣叶支架上的生长状况,为制备具有完整结构的低抗原性的新型HV作准备。
1 材料与方法
1.1 HUVEC悬液的制备 HUVEC制备方法参照杨映波方法[1]。EC收集后,用0.4%台盼蓝染色计数,加入适量完全培养液,调细胞浓度至4×105~5×105/ml,37℃放置,1h内应用。
1.2 HV取材分组 于1997年10月~1998年6月,选择48例健康成人脑死亡者,年龄20~30岁,平均27岁,于死亡30min内在无菌条件下取出心脏,4℃生理盐水冲净,24h内修剪,并随机分成3组,置入RPMI1640培养液中,48h应用。Ⅱ组为HUVEC+1%脱氧胆酸(Desoxycholic acid,DOA)去内皮瓣叶共同培养组。取制备好的圆形瓣叶16个,置入1% DOA 液中,37℃ 水浴30 min,然后在PBS液中漂洗3次,每次10min,置入24孔培养板内各孔,铺平,随机分为4个亚组(Ⅱ1,3,7,10),再将HUVEC悬液种植于各孔内, 每孔1ml,加入完全培养液1ml,共同培养。Ⅲ组为HUVEC+2.5%戊二醛处理瓣叶共同培养组。取HV瓣叶16个,置入2.5%戊二醛液中,4℃ 2h,余步骤同Ⅱ组。Ⅰ组为单纯HUVEC培养组,作对照。各组SABC第Ⅷ因子相关抗原免疫荧光染色,证实细胞为EC。
1.3 培养检测方法 将各组培养板置入37℃,体积分数为0.05 CO2培养箱内,第一天换液一半,以后每两天换液一半,培养结束前24h,每孔内加入3H-TdR 5μCi。分别于第1、3、7、10天,用质量分数为0.25胰蛋白酶消化ECS,并行光镜下细胞计数。3H-TdR掺入量测定及瓣叶组织扫描及透射电镜观察。3H-TdR掺入量测定:EC悬液过滤于49型玻璃纤维滤膜上,滴加0.5mg/L ACCL3液固定细胞,无水乙醇脱水脱色,滤膜80℃烘干,置入闪烁液平衡24h,在液闪计数器上计数1min脉冲数(cpm)。
1.4 统计学方法 结果以均数±标准差(
2 结 果
2.1 台盼蓝活细胞计数及3H-TdR掺入量 见表1、2。
表1 台盼蓝染色活细胞计数(104/ml) 组别
培养时间(d)
1
3
7
10
Ⅰ
1.875±0.144
3.813±0.125
8.188±0.239
10.375±0.323
Ⅱ
1.063±0.314*
2.688±0.239*
5.563±0.125*
7.438±0.115*
Ⅲ
0.323±0.375*#
0*#
0*#
0*#
与I组比较P<0.05,#与Ⅱ组比较P<0.05表2 3H-TdR掺入量(min-1) 组别
培养时间(d)
1
3
7
10
Ⅰ
138.25±28.96
1279.00±131.35
191.25±56.66
68.50±13.03
Ⅱ
115.75±32.40*
311.50±34.72*
815.00±52.33*
41.75±18.70*
Ⅲ
22.60±9.82*#
13.45±5.53*#
76.80±8.36*#
10.55±6.75*#
与Ⅰ组比较P<0.05,#与Ⅱ组比较P<0.05
图1 局部EC附着生长,细胞形态不一 ×1 000
图2 EC结构完整,核质清晰,其下纤维细胞形态规整 ×6 000
图3 胶原纤维暴露、紊乱,无EC生长 ×1 000
2.2 扫描及透射电镜检查结果 Ⅱ组见EC附着生长,细胞形态不一,其下基膜组织表面完整光滑。EC结构基本完整,核质清晰,其下可见基膜组织层次清晰,纤维细胞形态规整,胞膜核膜完整,核染质分布正常。胶原纤维排列整齐,明暗带清晰(图1,2)。
Ⅲ组瓣叶表面纤维组织暴露,无EC附着,表面粗糙、紊乱,局部有断裂、缺失现象。未发现结构完整的细胞(图3,4)。
2.3 光学显微镜检查结果 Ⅱ组于培养第3天,可见局部EC生长呈单层,其下基膜组织结构完整、清晰,纤维组织层次清楚,结构完整致密,第7天可见瓣叶表面形成EC层,但至第10天,局部EC层有脱落现象。
图4 纤维细胞内空泡形成,核碎裂 ×10 000 Ⅲ组未见细胞附着、生长,其下纤维结构基本保持,但表面基底膜缺失。
3 讨 论
EC作为血液与瓣叶纤维组织间的一种重要的天然屏障,其所具有的多种生物活性对于保持移植瓣叶的活性,降低远期衰败率及提高瓣叶耐久性等方面具有重要的意义,但现在最常见的HV液氮冷冻保存方法在处理过程中,伴有大量EC的脱失[2,3]。为了解决HV的远期衰败问题,近年来的研究主要致力于体外内皮化的方法,即用受体EC对供体HV纤维支架进行EC的种植或铺植,以期获得理想的新型HV[4]。
本实验采用培养的HUVEC种植于HV瓣叶组织上并共同培养,初步探索用人静脉EC对HV行内皮化的方法效果及影响因素,观察培养HUVEC在HV组织上的生长情况,为制备“理想的”新型HV作初步准备。结果显示,用DOA处理HV组织,可获得一种活性的基膜完整的瓣叶纤维支架,以利于EC粘附生长。
戊二醛处理之非活性支架与活性支架比较,反映了活性的结构完整的瓣叶支架,对内皮粘附和生长的重要性。HUVEC在活性纤维支架上有一定的生长趋势,1周内可形成ECs单层,但10d已有部分EC层脱失。因此,如何保持培养EC的长期附着与生长仍是需要解决的问题。研究还发现HUVEC在戊二醛处理的HV上不能附着生长,分析其原因,可能与戊二醛的毒性作用抑制粘附生长及戊二醛对成纤维细胞代谢的毒性抑制作用使其不能为培养EC产生营养支持作用,而这正是EC生长的依赖因素之一。
如何进一步提高EC与受体HV附着的牢固程度,使内皮化后的HV能够承受体内不同方向血流的冲击而ECs不脱落,尚需进一步研究。
参考文献
1,杨映波,王正国,朱佩芳.肿瘤坏死因子对培养内皮细胞的损伤作用—循环内皮细胞初探[J].中国循环杂志,1993;8(6)∶353
2,张 传,郭加强,刘迎龙等.同种带瓣血管移植后免疫反应的研究[J].中国循环杂志,1996;11(10)∶603
3,Lupinetti FM, Tsai TT, Kneebone JM et al.Effect of cryopreservation on the presence of endothelial cells on human valve allografts[J].J Thorac Cardiovasc Surg,1993;106(5)∶912
4,Bengtsson L,Radegramk, Kagerstrand A.In vito endothelialixation of commercial available heart valve bioprosthesis with cultured human cells[J].Eur J Vasc Surg 1994;7(2)∶393
(1999-08-10收稿 1999-09-06修回)
您现在查看是摘要介绍页,详见PDF附件(208kb)。