当前位置:
编号:
10856367
肺动脉血栓长达1米 消融术后成功取出
http://www.100md.com
2005年12月29日
《中国医学论坛报》
2005年第49期
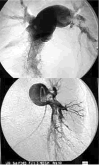
近日,西安交通大学医学院第一附属医院心血管内科采用肺动脉血栓消融仪,成功治疗了1例右下肢深静脉血栓形成、左右肺动脉主干及4个主要分支栓塞95%以上的大面积肺栓塞患者。血栓消融术历时3个小时,施治医师成功地从患者肺动脉中抽出直径4 mm、长100 cm余的血栓。术后患者胸痛、气短明显好转,恢复良好。
, http://www.100md.com
百拇医药网
http://www.100md.com/html/DirDu/2005/12/29/85/67/36.htm