当前位置:
编号:10857725
一种简单而安全的颅骨重建方法
http://www.100md.com 2006年1月12日 《中国医学论坛报》 2006年第1期
一种简单而安全的颅骨重建方法
一种简单而安全的颅骨重建方法
一种简单而安全的颅骨重建方法
一种简单而安全的颅骨重建方法

     颅后窝手术后,重建颅骨不但对预防术后并发症(如头痛)非常重要,而且从美容角度来讲也很重要。目前报道的重建方法包括使用人工的或天然的移植物,后者包括自体移植物和同种异体移植物两种。以前所采用的方法需要更换外科手术间或者进行一些附加手术,因此延长了手术时间,使并发症增加。

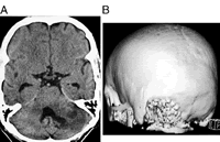
    沙特阿拉伯King Faisal大学的神经外科医师介绍了一种简单而安全的颅骨重建方法。该方法用病人自体的骨屑,组织胶和凝胶泡沫片,混合塑形后重建颅骨切除术后患者的外科缺损(如图示)。

    该重建术要求尽可能多的收集颅骨切除术中产生的骨屑,加入组织胶,将其放置于两层凝胶泡沫片之间,塑造成与外科缺损吻合的形状后,将塑造好的骨屑团置入颅骨缺损处。

    据研究者介绍,2000年1月至2004年9月间,他们一共对10例颅后窝病变行颅骨切除术的患者,在同一手术室进行了上面介绍的颅骨重建术。患者没有出现并发症和延迟的重建部位疼痛。术后颅骨的平面X线和CT结果显示外科缺损处良好的愈合和成形情况。, 百拇医药