当前位置: 首页 > 保健版 > 家庭健康 > 四季保健 > 冬季 > 信息
编号:10991429
雪后滑倒骨折后如何处理(图)
http://www.100md.com 2006年2月9日 搜狐
雪后滑倒骨折后如何处理(图)
雪后滑倒骨折后如何处理(图)
雪后滑倒骨折后如何处理(图)
雪后滑倒骨折后如何处理(图)

     每逢大雪过后,由于路面湿滑,部分路面结冰,医院里因摔伤造成骨折及外伤的患者会增多。搜狐健康提醒您:雪后路滑,注意慢行。同时还建议您掌握一些摔伤(骨折)后的急救处理方法。

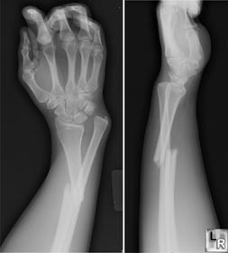
    身体的各个部位都可能发生骨折。发生骨折后,局部有疼痛和压痛,肿胀、畸形和功能丧失,骨折处有时可触到骨磨擦音,依靠X光片,一般可以确诊。

    骨折后如何紧急处理?

    发生骨折事故之后,为了使断骨不再加重对周围组织的损伤,为了减轻患者的疼痛,在运送患者去医院的途中,应进行必要的固定:

    肱骨骨折固定法:患者手臂呈屈肘状,用两块夹板固定,一块放于上臂内侧,另一块放在外侧,用绷带固定。如只有一块夹板,则夹板放在外侧加以固定,用三角巾悬吊伤肢。

    大腿骨折固定法:将伤腿拉直,夹板长度上至腋窝,下过脚跟。两块夹板放于大腿内、外侧;有绷带或三角巾缠绕固定。
, 百拇医药
    脊柱骨折固定法:发生脊柱骨折时病情多较严重,此时严禁乱加搬动,应轻巧平稳地在保持脊柱安定状况下,移至硬板担架上,用三角巾固定后,及早转运。切勿扶持患者走动,也不要让伤者躺在软担架之上,这样有可能会造成脊柱神经损伤,引起终生截瘫。

    注意事项

    骨折之后不可乱揉捏 有出血时应先止血和消毒包扎伤口,然后固定骨折。如有休克,同时进行抢救。 对于大腿、小腿和脊椎骨折,一般应就地固定,不要随便移动患者。 固定力求稳妥牢固,要固定骨折的两端和上下两个关节。 上肢固定时,肢体要弯着绑屈肘状。下肢固定时,肢体要伸直绑。 怀疑有脊椎骨折的应使伤者平卧硬板床上进行搬运。 有些人给骨折的患者喝骨头汤,这是错误的。实际上,骨折的人不宜喝骨头汤。

    海军总医院骨科主任阮狄克为大家的雪天出行、自救提出以下建议:

    走路:
, 百拇医药
    行人要走人行道,不要在机动车道上行走,防止被侧滑的车碰到; 走路速度不要太快,最好穿防滑鞋或旅游鞋。 如果突然摔倒,尽量别用手腕去支撑地面,因为这种摔倒姿势最容易造成手臂骨折。 万一发生骨折,切不可乱揉乱动,应用围巾、书本等工具固定好骨折部位,请求他人帮助,到附近医院治疗。

    骑车:

    骑自行车、电动车出行者,出门前要先检查车闸是否失灵; 上路后要低速行驶; 不要在易结冰打滑的地砖上骑车; 切勿与机动车抢道,防止被发生侧滑的机动车碰伤; 在有较厚积雪或者有薄冰的路面,最好下车步行。

    摔伤自救:摔倒后不要急于起身

    专家提醒,摔倒后不要急于起身,应先看看自己是大腿、腰部还是手腕摔疼了。一般腿和手腕骨折较轻,人们还能勉强活动;如果腰疼,千万不要随意乱动,因为腰椎骨折后如果随意活动,很可能造成关节脱位,严重时下肢可能瘫痪。此时应该尽快呼救,救人者也不宜随意背抱伤者,而是要用硬板将伤者抬到医院,或拨打120或999急救电话由专业医护人员救助。
, 百拇医药
    延伸阅读:什么是骨折? 骨头断了就叫骨折吗?

    医学上对骨折的定义是:骨的完整性遭到破坏或连续性中断时,称为骨折。 如“裂缝骨折”、“青枝骨折”就不是“骨头断了”,但确实是骨折。

    骨折是如何分类的?

    按外伤造成的后果分:

    闭合性骨折:骨折处皮肤无损伤,无裂开、骨折断端不外露、又称单纯性骨折

    开放性骨折:骨折处皮肤有创口,甚至骨折断端刺伤局部肌肉和皮肤,使骨折端和外界相通,容易感染,又称复杂性骨折。

    按骨折程度分:

    不完全骨折(青枝骨折):仍有部分骨质相连。

    完全骨折:骨质完全离断。, http://www.100md.com