当前位置: 首页 > 期刊 > 《中国医学论坛报》 > 2006年第12期
编号:10959820
青少年特发性脊柱侧凸PUMC(协和)分型
http://www.100md.com 2006年3月30日 《中国医学论坛报》 2006年第12期
青少年特发性脊柱侧凸PUMC(协和)分型
青少年特发性脊柱侧凸PUMC(协和)分型
青少年特发性脊柱侧凸PUMC(协和)分型
青少年特发性脊柱侧凸PUMC(协和)分型

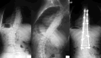
     青少年特发性脊柱侧凸(AIS)是10岁以上儿童在发育成熟前常见的一种非先天性脊柱畸形,2%~3%的青少年有此畸形,其占全部脊柱侧凸病例的80%。由于脊柱侧凸、扭曲和胸廓变形会直接影响患者的外观、心肺功能和生活质量,并严重危害他们的身心健康,因此,应重视AIS的早期诊断和治疗,尽早矫正畸形。

    AIS传统分型治疗

    AIS的治疗方案包括非手术治疗和手术治疗,一般将侧凸的冠状面Cobb角是否超过40°作为是否选择手术治疗的决策依据。

    AIS的非手术疗法包括理疗、体疗、表面电刺激、石膏及支具治疗等。其中,支具治疗应用最广泛,疗效也最可靠。对侧凸<20°且骨骼发育尚未成熟的青少年,应密切观察,并每隔6个月复查X线片;若侧凸于6个月内增加5°~10°或>30°则应行支具治疗;对20°~40°的脊柱侧凸可采用支具治疗;若侧凸>40°,由于病情仍会进展,不宜采用支具保守治疗。骨骼发育成熟后, <30°的侧凸很少会加重,但>40°的侧凸会持续加重,不宜行非手术治疗。尽管支具治疗AIS是有效的,但其会对患者的心理和肺功能产生影响,且会导致疼痛,部分患者不能耐受。

    临床上通常根据冠状面的Cobb角、骨骼发育情况、脊柱矢状面变化、椎体旋转程度及侧凸的自然病史判断是否需手术治疗。一般认为,对处于生长期、Cobb角>40°、非手术治疗无效(6个月内侧凸进展超过5°)、伴有疼痛、胸椎前凸及伴明显外观畸形的患者应选择手术治疗 ......

您现在查看是摘要页,全文长 5516 字符