当前位置: 首页 > 期刊 > 《中国医学论坛报》 > 2006年第14期
编号:10967049
多房性囊性肾癌
http://www.100md.com 2006年4月13日 《中国医学论坛报》 2006年第14期
多房性囊性肾癌
多房性囊性肾癌

     患者女,51岁,直肠癌术后2年,常规复查CT,发现左肾占位4个月。无肉眼血尿,无腰背疼痛。体检无特殊,尿常规阴性。

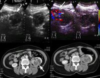
    图1 B型超声声像图,示左肾下极囊实性肿物,向肾外凸出(箭号),实性部分低回声,囊性部分呈分隔状。

    图2 多普勒彩色血流图,可见肿瘤实性部分内血流。

    图3 增强CT扫描肾皮质期

    图4 增强CT扫描肾实质期

    图5 增强CT扫描肾实质水平冠状多平面重组(MPR)

    图6 增强CT扫描左肾实质水平旁矢状MPR,可见左肾下极多房样囊实性肿物(箭号),囊壁、分隔及实性部分肾皮质期增强明显,实质期增强减弱;肿物周边光滑,与相邻肾实质分界清楚。

    图7 增强CT延时扫描,左肾门水平冠状MPR,可见肾排泌到盂内的对比剂未进入病变囊内。

    图8 手术标本,左肾剖开,示左肾下极多房囊实性肿物(箭号)。

    病理:肾透明细胞癌(G2PT1)部分囊变, http://www.100md.com