当前位置:
首页
>
期刊
>
《中国医学论坛报》
>
2006年第18期
编号:
10975055
肾下极融合畸形合并肾结石
http://www.100md.com
2006年5月18日
《中国医学论坛报》
2006年第18期
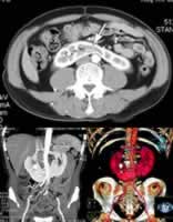
患者男,58岁,反复肉眼血尿伴腰痛2年余,腹中部触诊可及包块。
图1 肾下极水平增强CT扫描,可见双侧肾脏于脊柱前融合(箭号),右侧肾下盏内可见致密结石。
图2 最大密度投影(MIP)。
图3 容积再现(VR)示双侧肾下极于中线融合(马蹄肾畸形),双侧肾门朝向内上,右肾盂内多发X线阳性结石。
, http://www.100md.com
百拇医药网
http://www.100md.com/html/DirDu/2006/05/18/97/55/05.htm