当前位置: 首页 > 期刊 > 《中国医学论坛报》 > 2006年第19期
编号:10977676
支气管异物并纵隔及皮下积气
http://www.100md.com 2006年5月25日 《中国医学论坛报》 2006年第19期
支气管异物并纵隔及皮下积气

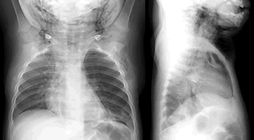
     患儿,男,15个月。主因咳嗽5天,发热2天,发现颈前肿胀半天就诊。查体:精神差,呼吸促,左肺呼吸音低。颌下、颈前部、前上胸部和左腋下肿胀,有握雪感。X线胸片(图1)显示:右肺及左下肺纹理增多、模糊,左肺野透光度增强,左下肺近膈面处可见斑片状、片絮状高或略高密度影,边缘模糊。心影纵隔略右移,纵隔边缘及纵隔内可见线状透亮影(■)、横膈连续显示(■)。颌下、颈前、前上胸部及左腋下见多发不规则蜂窝状透亮区(图2 )。胸部透视:与胸片相仿,但未见明显纵隔摆动或心影反常大小。X线诊断:纵隔积气,颌下、颈前、前上胸部及左腋下皮下积气;左肺气肿,左下肺实质浸润;左主支气管异物可能性大。

    患儿于全麻下接受纤维支气管镜检查,于左支气管开口处见一白色异物影,分次取出,异物为花生米,约1/4粒大小。, 百拇医药