当前位置: 首页 > 期刊 > 《中国医学论坛报》 > 2006年第19期
编号:10977677
自幼反复咳嗽、咳痰
http://www.100md.com 2006年5月25日 《中国医学论坛报》 2006年第19期
自幼反复咳嗽、咳痰

     病历摘要

    患儿,女,16岁,主因“反复咳嗽、咳痰7年余”入院。患儿于7年多前无明显诱因出现咳嗽、咳痰,时有发热、气喘,无咯血及呼吸困难。当地医院曾予止喘药治疗效果不佳,经抗感染治疗患儿病情有所缓解。患儿每年患上呼吸道感染7~10次,支气管肺炎1~2次。均表现为咳嗽、流黄涕、咳痰,痰多而稠厚,为黄绿色脓痰。

    患儿为G1P1,足月顺产,智力发育同正常同龄儿。新生儿期曾患中耳炎,并于6岁前反复患中耳炎。家族史:父母体健,非近亲婚配,否认家族遗传病史。

    入院查体 体重34 kg,身高148 cm。发育正常,营养中等。皮肤黏膜无苍白、黄染,无皮疹。浅表淋巴结未及肿大。咽充血,双肺呼吸音粗,有少许喘鸣音,右下肺可闻及中水泡音。心前区无隆起,心尖搏动位于胸骨右缘第5肋间锁骨中线内0.5 cm,叩诊心界不大,心律齐,未及杂音。腹平软,肝脾未及。双下肢不肿,双手指呈杵状指。
, http://www.100md.com
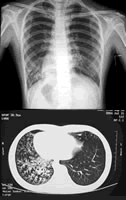
    实验室检查 血常规大致正常,血气正常。Ig系列、CD系列、分泌型IgA均在正常范围。心电图示右位心。超声心动图示:镜向右位心,余心内结构未见明显异常。腹部B超:脏器转位(肝、胆、胰、脾)。柯瓦位X线片:副鼻窦炎。X线胸片:肺内间质+实质改变,右位心(图1)。胸部CT:左肺舌叶及右下肺间质+实质病变,右下肺支气管扩张(支扩)形成,右位心(图2)。

    耳鼻喉科会诊:慢性鼻窦炎,慢性中耳炎。脑干测听及声阻抗检查均正常。纤维支气管镜:气管支气管内膜化脓性炎症。灌洗液涂片、普通培养和真菌培养均阴性。结核菌素纯蛋白衍生物(PPD)5 U阴性。纤毛活检:纤毛呈正常9+2结构。

    治疗经过:给予头孢他啶50~100 mg/kg·d抗感染,盐酸氨溴索(沐舒坦)超声雾化吸入,拍背、吸痰等对症治疗,并进行纤维支气管镜局部灌洗治疗2次,患儿体温正常,咳嗽、咳痰逐渐减轻,16天后好转出院。

    病例讨论
, http://www.100md.com
    于飞鸿医师 本病例特点:(1)青春期女孩,慢性起病,病程迁延。(2)以反复咳嗽,流涕,咳痰为主要表现。自幼每年反复患上呼吸道感染和支气管肺炎。(3)自新生儿期起反复患中耳炎。(4)否认家族遗传病史。(5)查体双肺呼吸音粗,有少许喘鸣音,右下肺有中水泡音。心脏右位,心界不大,心律齐。肝脾不大,双手杵状指。(5)辅助检查:血常规、血沉、C反应蛋白、支原体抗体、PPD均阴性。心电图、超声心动图、X线胸片、胸部CT均提示右位心。柯瓦位片示副鼻窦炎。胸部CT示肺内间质+实质病变,右下肺支扩形成。腹部B超示内脏转位。根据患儿的上述特征,诊断反复呼吸道感染成立,尚需完善相关检查,寻找基础疾病。

    王维主治医师:根据患儿病程迁延,以反复咳嗽,流涕,咳痰等呼吸道感染为主要表现,右位心及肺部体征,以及入院后各项辅助检查结果,患儿具备支气管扩张、鼻窦炎、内脏转位典型三联征,故诊断Kartagener综合征成立。本病常和其他先天畸形同时存在,如先天性心脏病、脑积水、腭裂、肛门闭锁、复肾、智力障碍、听力减退等。本患儿入院后完善相关检查,未发现明显合并畸形。
, http://www.100md.com
    刘秀云副主任医师:Kartagener综合征属于原发性纤毛运动障碍(PCD)。PCD属常染色体隐性遗传,发病率为1∶1.5万~1∶3.0万。纤毛结构广泛存在于呼吸道、中耳、输卵管、输精管、精子鞭毛,以及脑、脊髓室管膜等组织器官中,由于纤毛结构及功能异常,导致纤毛运动不良及清除功能障碍,可引起反复鼻窦炎、支气管炎、肺炎、中耳炎、宫外孕、不孕不育症及脑积水等。本患儿自新生儿期起即有反复中耳炎病史,目前,患儿仍反复咳嗽、咳痰、痰多而稠厚,为黄绿色脓痰,有支气管扩张的表现,结合右位心,诊断并不困难。支气管扩张患儿,有黄绿色痰,多为铜绿假单胞菌等革兰阴性杆菌感染所致,故入院后经验性选用头孢他啶或亚胺培南(泰能)抗感染。

    申昆玲主任医师:原发性纤毛运动障碍包括纤毛不动综合征、Kartagener综合征、纤毛运动不良和原发性纤毛定向障碍等几种类型。PCD中50%的病例合并内脏转位,形成Kartagener综合征。反复感染是由于呼吸道纤毛清除功能障碍引起局部病原微生物黏附并大量繁殖所致,但内脏转位的机制目前尚无定论。纤毛超微结构为9+2轴索微管结构(图3),异常表现有20余种,以动力蛋白臂缺陷为主,还有微管缺失,放射轮轴缺陷,微管排列紊乱等。需进一步行纤毛活检以协助诊断。由于纤毛结构由至少200余种蛋白构成,具有大量的潜在基因,因此在短期内将基因检测作为诊断工具的可能性不大。关于PCD的治疗,在感染急性期应积极抗感染,加强拍背及体位引流,促进痰液排出,以保护其肺功能,尽量避免肺心病的发生。非感染期可用抗生素预防感染,正确的治疗可使患者拥有正常寿命。
, 百拇医药
    江载芳教授:引起反复呼吸道感染的基础疾病包括:(1)原发性或继发性免疫缺陷病。(2)原发性纤毛运动障碍(PCD)。(3)先天性会厌吞咽功能不全症,先天性肺发育不良,先天性肺囊肿,先天性气管软化、狭窄等。(4)先天性心脏病:左向右分流。(5)气管、支气管异物。(6)胃食管反流等。

    原发性纤毛运动障碍应与继发性纤毛柱状上皮结构异常相鉴别,后者多继发于感染、大气污染等因素,结构改变具有可逆性,以复合纤毛和微管缺陷多见。继发性纤毛柱状上皮结构异常多起病晚,有反复感染及治疗不正规等病史。因此纤毛活检最好于抗感染4~6周后进行为佳。原发性纤毛运动障碍还应与囊性纤维性变(CF)鉴别,此病多见于白种人,亦为常染色体隐性遗传,可引起鼻窦、肺部疾病及男性不育症。但其发病机制为黏液成分异常,因稠厚而很难被纤毛清除,尚有胰腺功能不全及汗液试验阳性(汗氯升高),其病情相对重。根据本患儿具有支气管扩张、鼻窦炎、内脏转位三联征,Kartagener综合征诊断明确。虽行纤毛活检示纤毛结构正常,但可能由于蛋白酶缺陷或原发性纤毛定向障碍导致纤毛摆动无效而致病。我们仅以此病例与大家分享,提高大家对原发性纤毛运动障碍及反复呼吸道感染相关疾病的认识。
, 百拇医药
    图3 正常呼吸道纤毛横断面超微结构

    A:纵切面

    B-D:纤毛不同水平段的结构图

    E:纤毛杆中部横断面的典型结构——9个外周微管(A、B)和 2个中心微管 (9+2结构)

    o:外动力短臂

    i:内动力短臂

    r:放射轮轴

    h:轴头

    p:中心鞘, http://www.100md.com